中文名稱:兔抗GSTA5多克隆抗體
英文名稱: Anti-GSTA5 rabbit polyclonal antibody
別 名: glutathione S-transferase alpha 5
相關類別: 一抗
儲 存: 冷凍(-20℃)
宿 主: Rabbit
抗 原: GSTA5
反應種屬: Human, Rat
標記物: Unconjugate
克隆類型:rabbit polyclonal
Background:
The glutathione S-transferases (GST; EC 2.5.1.18) catalyze the conjugation of reduced glutathiones and a variety of electrophiles, including many known carcinogens and mutagens. The cytosolic GSTs belong to a large superfamily, with members located on different chromosomes. For additional information on GSTs, see GSTA1 (MIM 138359).
Applications:
ELISA, WB, IHC
Name of antibody:
GSTA5
Immunogen:
Synthetic peptide of human GSTA5
Full name:
glutathione S-transferase alpha 5
SwissProt:
Q7RTV2
ELISA Recommended dilution:
5000-10000
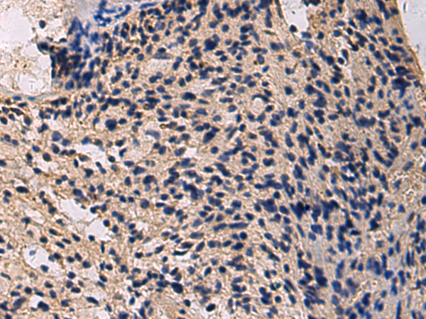
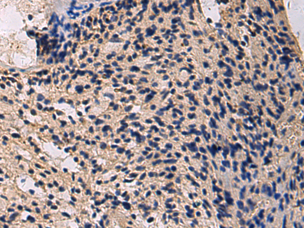
IHC positive control:
Human brain
IHC Recommend dilution:
200-300
WB Predicted band size:
26 kDa
WB Positive control:
Rat liver tissue lysate
WB Recommended dilution:
1000-5000
技術規格


購物車
幫助
021-54845833/15800441009
