中文名稱: 兔抗MOG多克隆抗體
英文名稱: Anti-MOG rabbit polyclonal antibody
別 名: BTN6; BTNL11; MOGIG2; NRCLP7
相關類別: 一抗
儲 存: 冷凍(-20℃)
宿 主: Rabbit
抗 原: MOG
反應種屬: Human, Mouse, Rat
標 記 物: Unconjugate
克隆類型: rabbit polyclonal
技術規格
|
Background: |
The product of this gene is a membrane protein expressed on the oligodendrocyte cell surface and the outermost surface of myelin sheaths. Due to this localization, it is a primary target antigen involved in immune-mediated demyelination. This protein may be involved in completion and maintenance of the myelin sheath and in cell-cell communication. Alternatively spliced transcript variants encoding different isoforms have been identified. |
|
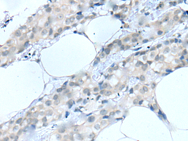
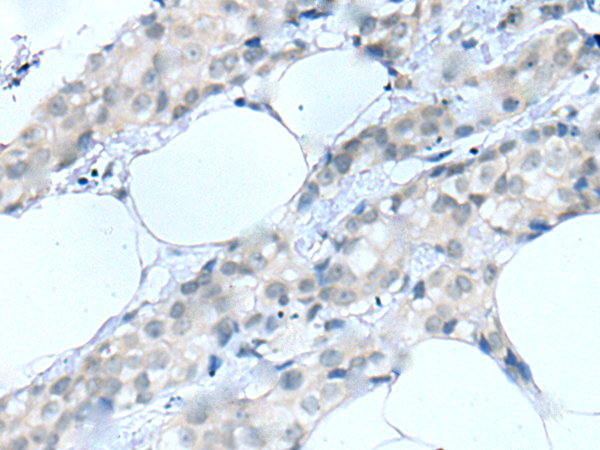
Applications: |
ELISA, IHC |
|
Name of antibody: |
MOG |
|
Immunogen: |
Synthetic peptide of human MOG |
|
Full name: |
myelin oligodendrocyte glycoprotein |
|
Synonyms: |
BTN6; BTNL11; MOGIG2; NRCLP7 |
|
SwissProt: |
Q16653 |
|
ELISA Recommended dilution: |
5000-10000 |
|
IHC positive control: |
Human tonsil |
|
IHC Recommend dilution: |
20-100 |


購物車
幫助
021-54845833/15800441009
