中文名稱: 兔抗GTF2H4多克隆抗體
英文名稱: Anti-GTF2H4 rabbit polyclonal antibody
別 名: general transcription factor IIH subunit 4; P52; TFB2; TFIIH
相關類別: 一抗
儲 存: 冷凍(-20℃)
宿 主: Rabbit
抗 原: GTF2H4
反應種屬: Human, Mouse
標 記 物: Unconjugate
克隆類型: rabbit polyclonal
Background:
Component of the core-TFIIH basal transcription factor involved in nucleotide excision repair (NER) of DNA and, when complexed to CAK, in RNA transcription by RNA polymerase II.
Applications:
ELISA, WB, IHC
Name of antibody:
GTF2H4
Immunogen:
Synthetic peptide of human GTF2H4
Full name:
general transcription factor IIH subunit 4
Synonyms:
P52; TFB2; TFIIH
SwissProt:
Q92759
ELISA Recommended dilution:
5000-10000
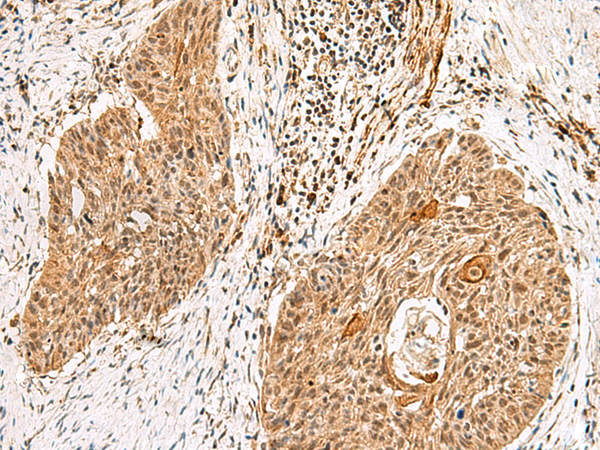
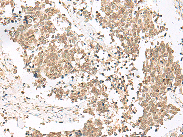
IHC positive control:
Human lung cancer and Human esophagus cancer
IHC Recommend dilution:
40-200
WB Predicted band size:
52 kDa
WB Positive control:
Human heart tissue lysate
WB Recommended dilution:
200-1000
技術規格

購物車
幫助
021-54845833/15800441009
