中文名稱: 兔抗MPRIP多克隆抗體
英文名稱: Anti-MPRIP rabbit polyclonal antibody
別 名: MRIP; RIP3; M-RIP; RHOIP3; p116Rip
儲 存: 冷凍(-20℃) 避光
抗 原: MPRIP
宿 主: Rabbit
反應種屬: Human Mouse
相關類別: 一抗
標 記 物: Unconjugate
克隆類型: Unconjugate
技術規格
Background:
Targets myosin phosphatase to the actin cytoskeleton. Required for the regulation of the actin cytoskeleton by RhoA and ROCK1. Depletion leads to an increased number of stress fibers in smooth muscle cells through stabilization of actin fibers by phosphorylated myosin. Overexpression of MRIP as well as its F-actin-binding region leads to disassembly of stress fibers in neuronal cells. UniProtKB P97434
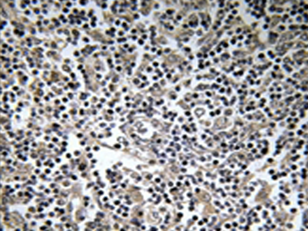
Applications:
IHC
Name of antibody:
MPRIP
Immunogen:
Synthesized peptide derived from internal of human MPRIP.
Full name:
myosin phosphatase Rho interacting protein
Synonyms:
MRIP; RIP3; M-RIP; RHOIP3; p116Rip
SwissProt:
Q6WCQ1
IHC positive control:
Human lymph noe tissue
IHC Recommend dilution:
50-100

購物車
幫助
021-54845833/15800441009
