中文名稱: 兔抗H3C1多克隆抗體
英文名稱:Anti-H3C1 rabbit polyclonal antibody
別 名: H3 clustered histone 1; H3/A; H3FA; HIST1H3A
相關類別: 一抗
儲 存: 冷凍(-20℃)
宿 主: Rabbit
抗 原: H3C1
反應種屬: Human, Mouse
標 記 物: Unconjugate
克隆類型: rabbit polyclonal
Background:
Histones are basic nuclear proteins that are responsible for the nucleosome structure of the chromosomal fiber in eukaryotes. This structure consists of approximately 146 bp of DNA wrapped around a nucleosome, an octamer composed of pairs of each of the four core histones (H2A, H2B, H3, and H4). The chromatin fiber is further compacted through the interaction of a linker histone, H1, with the DNA between the nucleosomes to form higher order chromatin structures. This gene is intronless and encodes a replication-dependent histone that is a member of the histone H3 family. Transcripts from this gene lack polyA tails; instead, they contain a palindromic termination element. This gene is found in the large histone gene cluster on chromosome 6p22-p21.3. [provided by RefSeq, Aug 2015]
Applications:
ELISA, WB, IHC
Name of antibody:
H3C1
Immunogen:
Fusion protein of human H3C1
Full name:
H3 clustered histone 1
Synonyms:
H3/A; H3FA; HIST1H3A
SwissProt:
P68431
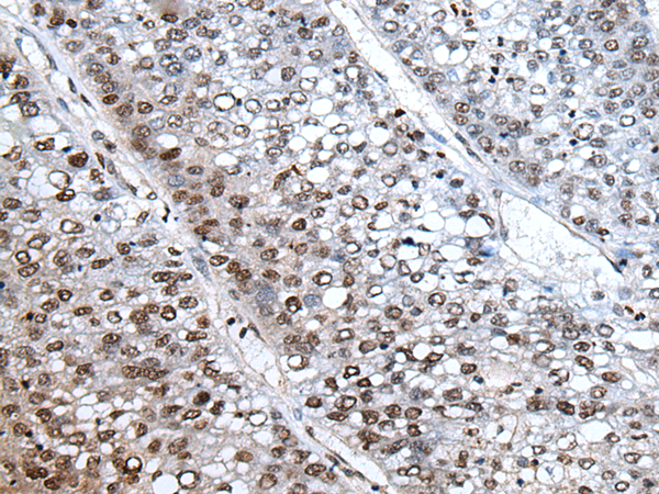
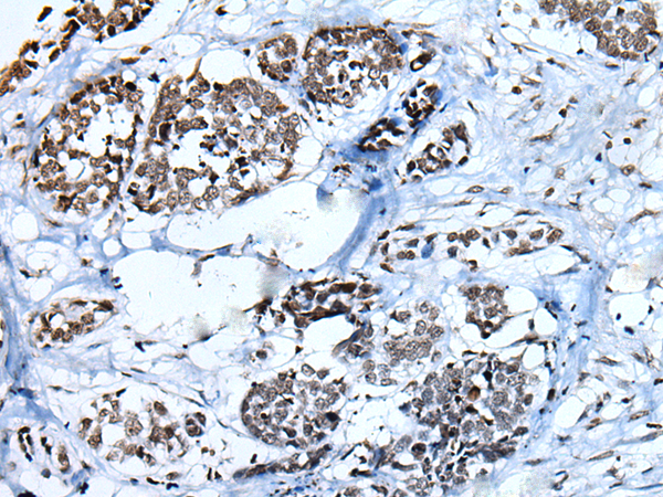
IHC positive control:
Human liver cancer
IHC Recommend dilution:
25-100
WB Predicted band size:
15 kDa
WB Positive control:
Jurkat cell lysate
WB Recommended dilution:
500-2000
技術規格



購物車
幫助
021-54845833/15800441009
