|
Background: |
Homeobox-containing genes are thought to have a role in controlling development. In Drosophila, the 'engrailed' (en) gene plays an important role during development in segmentation, where it is required for the formation of posterior compartments. Different mutations in the mouse homologs, En1 and En2, produced different developmental defects that frequently are lethal. The human engrailed homologs 1 and 2 encode homeodomain-containing proteins and have been implicated in the control of pattern formation during development of the central nervous system. |
|
Applications: |
ELISA, WB, IHC |
|
Name of antibody: |
EN2 |
|
Immunogen: |
Synthetic peptide of human EN2 |
|
Full name: |
engrailed homeobox 2 |
|
SwissProt: |
P19622 |
|
ELISA Recommended dilution: |
5000-10000 |
|
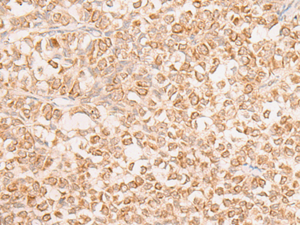
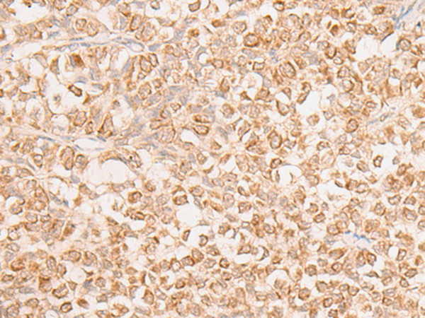
IHC positive control: |
Human ovarian cancer |
|
IHC Recommend dilution: |
30-150 |
|
WB Predicted band size: |
34 kDa |
|
WB Positive control: |
Jurkat cell lysate |
|
WB Recommended dilution: |
500-2000 |

購物車
幫助
021-54845833/15800441009
