中文名稱: 兔抗UBE2C多克隆抗體
技術規格
Background:
The modification of proteins with ubiquitin is an important cellular mechanism for targeting abnormal or short-lived proteins for degradation. Ubiquitination involves at least three classes of enzymes: ubiquitin-activating enzymes, ubiquitin-conjugating enzymes, and ubiquitin-protein ligases. This gene encodes a member of the E2 ubiquitin-conjugating enzyme family. The encoded protein is required for the destruction of mitotic cyclins and for cell cycle progression, and may be involved in cancer progression. Multiple transcript variants encoding different isoforms have been found for this gene. Pseudogenes of this gene have been defined on chromosomes 4, 14, 15, 18, and 19.
Applications:
ELISA, WB, IHC
Name of antibody:
UBE2C
Immunogen:
Full length fusion protein
Full name:
ubiquitin conjugating enzyme E2C
Synonyms:
UBCH10; dJ447F3.2
SwissProt:
O00762
ELISA Recommended dilution:
5000-10000
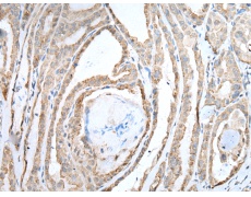
IHC positive control:
Human thyroid cancer
IHC Recommend dilution:
25-100
WB Predicted band size:
20 kDa
WB Positive control:
231,Hela and HT-29 cell lysates
WB Recommended dilution:
200-1000

購物車
幫助
021-54845833/15800441009
