|
Background: |
This gene was originally identified as a naturally occurring antisense transcript to the human thymidylate synthase gene. Alternate splice variants have been described, one of which (named rTSalpha) represents an alternate 3'UTR that is complementary to the 3'UTR and terminal intron of the thymidylate synthase (TS) RNA and down-regulates TS expression. Other transcript variants (rTSbeta and rTSgamma) do not overlap the TS locus. The function of this gene appears to be primarily to regulate expression of the TS locus both via the antisense transcript as well as through the encoded proteins. |
|
Applications: |
ELISA, IHC |
|
Name of antibody: |
ENOSF1 |
|
Immunogen: |
Synthetic peptide of human ENOSF1 |
|
Full name: |
enolase superfamily member 1 |
|
Synonyms: |
RTS; TYMSAS |
|
SwissProt: |
Q7L5Y1 |
|
ELISA Recommended dilution: |
5000-10000 |
|
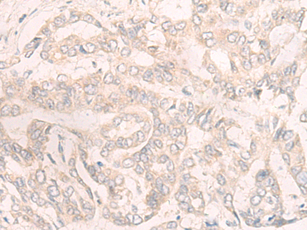
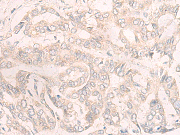
IHC positive control: |
Human liver cancer |
|
IHC Recommend dilution: |
25-100 |
購物車
幫助
021-54845833/15800441009
