|
Background: |
The glycine-N-acyltransferase protein conjugates glycine with acyl-CoA substrates in the mitochondria. The protein is thought to be important in the detoxification of endogenous and xenobiotic acyl-CoA's. Two transcript variants encoding different isoforms have been found for this gene. |
|
Applications: |
ELISA, WB, IHC |
|
Name of antibody: |
GLYAT |
|
Immunogen: |
Fusion protein of human GLYAT |
|
Full name: |
glycine-N-acyltransferase |
|
Synonyms: |
CAT; GAT; ACGNAT |
|
SwissProt: |
Q6IB77 |
|
ELISA Recommended dilution: |
5000-10000 |
|
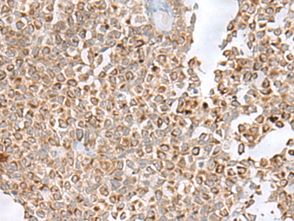
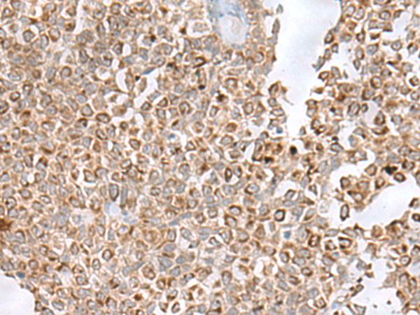
IHC positive control: |
Human ovarian cancer |
|
IHC Recommend dilution: |
50-300 |
|
WB Predicted band size: |
34 kDa |
|
WB Positive control: |
Mouse kidney tissue and Human kidney tissue lysates |
|
WB Recommended dilution: |
500-2000 |


購物車
幫助
021-54845833/15800441009
