中文名稱: 兔抗MAPK1/MAPK3 (Phospho-Thr185/202)多克隆抗體
英文名稱: Anti-MAPK1/MAPK3 (Phospho-Thr185/202) rabbit polyclonal antibody
別 名: ERK1/2
相關類別: 一抗
儲 存: 冷凍(-20℃) 避光
宿 主: Rabbit
抗 原: MAPK1/MAPK3 (Phospho-Thr185/202)
反應種屬: Human, Mouse, Rat
標 記 物: Unconjugate
克隆類型: rabbit polyclonal
技術規格
|
Background: |
Involved in both the initiation and regulation of meiosis, mitosis, and postmitotic functions in differentiated cells by phosphorylating a number of transcription factors such as ELK-1. Phosphorylates EIF4EBP1; required for initiation of translation. Phosphorylates microtubule-associated protein 2 (MAP2). Phosphorylates SPZ1 |
|
Applications: |
WB, IHC, IF |
|
Name of antibody: |
MAPK1/MAPK3 (Phospho-Thr185/202) |
|
Immunogen: |
Synthetic peptide of human MAPK1/MAPK3 (Phospho-Thr185/202) |
|
Full name: |
mitogen-activated protein kinase 1/3 (Phospho-Thr181/202) |
|
Synonyms: |
ERK1/2 |
|
SwissProt: |
P27361/P28482 |
|
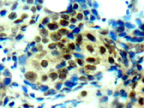
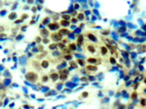
IHC positive control: |
Human breast carcinoma |
|
IHC Recommend dilution: |
50-100 |
|
WB Predicted band size: |
42 kDa; 44 kDa |
|
WB Positive control: |
293 cells treated with PMA |
|
WB Recommended dilution: |
500-1000 |
|
IF positive control: |
Hela cells |
|
IF Recommend dilution: |
100-200 |



購物車
幫助
021-54845833/15800441009
