|
Background: |
The protein encoded by this gene is a receptor for interleukin 7 (IL7). The function of this receptor requires the interleukin 2 receptor, gamma chain (IL2RG), which is a common gamma chain shared by the receptors of various cytokines, including interleukins 2, 4, 7, 9, and 15. This protein has been shown to play a critical role in V(D)J recombination during lymphocyte development. Defects in this gene may be associated with severe combined immunodeficiency (SCID). Alternatively spliced transcript variants have been found. |
|
Applications: |
ELISA, WB, IHC |
|
Name of antibody: |
IL7R |
|
Immunogen: |
Synthetic peptide of human IL7R |
|
Full name: |
interleukin 7 receptor |
|
Synonyms: |
ILRA; CD127; IL7RA; CDW127; IL-7R-alpha |
|
SwissProt: |
P16871 |
|
ELISA Recommended dilution: |
5000-10000 |
|
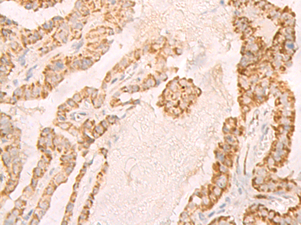
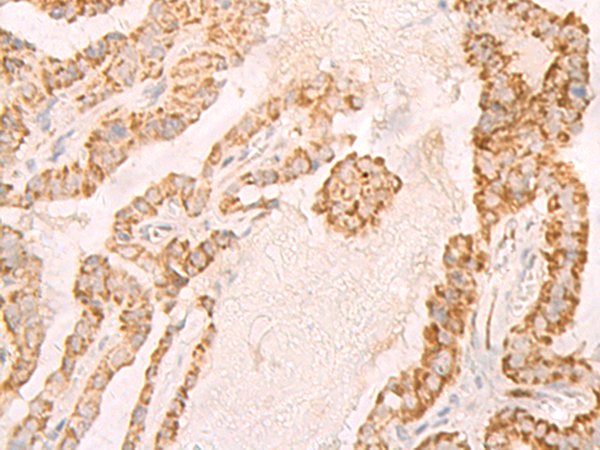
IHC positive control: |
Human thyroid cancer |
|
IHC Recommend dilution: |
40-200 |
|
WB Predicted band size: |
52 kDa |
|
WB Positive control: |
Human fetal brain tissue and Jurkat cell lysates |
|
WB Recommended dilution: |
500-2000 |

購物車
幫助
021-54845833/15800441009
