中文名稱: 兔抗UBE2O多克隆抗體
技術規格
|
Background: |
E2/E3 hybrid ubiquitin-protein ligase that displays both E2 and E3 ligase activities and mediates monoubiquitination of target proteins (PubMed:23455153, PubMed:24703950). Negatively regulates TRAF6-mediated NF-kappa-B activation independently of its E2 activity (PubMed:23381138). Acts as a positive regulator of BMP7 signaling by mediating monoubiquitination of SMAD6, thereby regulating adipogenesis (PubMed:23455153). Mediates monoubiquitination at different sites of the nuclear localization signal (NLS) of BAP1, leading to cytoplasmic retention of BAP1. Also able to monoubiquitinate the NLS of other chromatin-associated proteins, such as INO80 and CXXC1, affecting their subcellular location (PubMed:24703950). Acts as a regulator of retrograde transport by assisting the TRIM27:MAGEL2 E3 ubiquitin ligase complex to mediate 'Lys-63'-linked ubiquitination of WASHC1, leading to promote endosomal F-actin assembly (PubMed:23452853). |
|
Applications: |
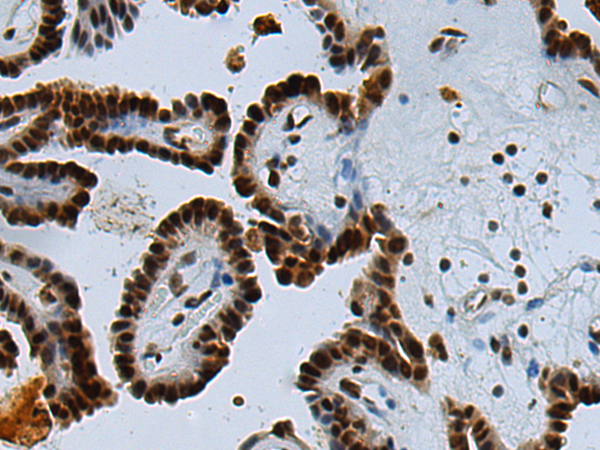
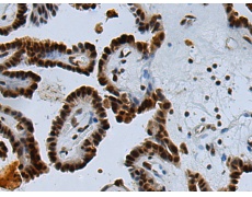
ELISA, IHC |
|
Name of antibody: |
UBE2O |
|
Immunogen: |
Fusion protein of human UBE2O |
|
Full name: |
ubiquitin conjugating enzyme E2 O |
|
Synonyms: |
E2-230K |
|
SwissProt: |
Q9C0C9 |
|
ELISA Recommended dilution: |
5000-10000 |
|
IHC positive control: |
Human thyroid cancer and Human gastric cancer |
|
IHC Recommend dilution: |
100-300 |


購物車
幫助
021-54845833/15800441009
