中文名稱:小鼠抗CCAR2單克隆抗體
|
Background: |
Core component of the DBIRD complex, a multiprotein complex that acts at the interface between core mRNP particles and RNA polymerase II (RNAPII) and integrates transcript elongation with the regulation of alternative splicing: the DBIRD complex affects local transcript elongation rates and alternative splicing of a large set of exons embedded in (A + T)-rich DNA regions. Inhibits SIRT1 deacetylase activity leading to increasing levels of p53/TP53 acetylation and p53-mediated apoptosis. Inhibits SUV39H1 methyltransferase activity. As part of a histone H3-specific methyltransferase complex may mediate ligand-dependent transcriptional activation by nuclear hormone receptors. Plays a critical role in maintaining genomic stability and cellular integrity following UV-induced genotoxic stress. Regulates the circadian expression of the core clock components NR1D1 and ARNTL/BMAL1. Enhances the transcriptional repressor activity of NR1D1 through stabilization of NR1D1 protein levels by preventing its ubiquitination and subsequent degradation (PubMed:18235501, PubMed:18235502, PubMed:19131338, PubMed:19218236, PubMed:22446626, PubMed:23352644, PubMed:23398316). Represses the ligand-dependent transcriptional activation function of ESR2 (PubMed:20074560). Acts as a regulator of PCK1 expression and gluconeogenesis by a mechanism that involves, at least in part, both NR1D1 and SIRT1 (PubMed:24415752). Negatively regulates the deacetylase activity of HDAC3 and can alter its subcellular localization (PubMed:21030595). Positively regulates the beta-catenin pathway (canonical Wnt signaling pathway) and is required for MCC-mediated repression of the beta-catenin pathway (PubMed:24824780). Represses ligand-dependent transcriptional activation function of NR1H2 and NR1H3 and inhibits the interaction of SIRT1 with NR1H3 (PubMed:25661920). Plays an important role in tumor suppression through p53/TP53 regulation; stabilizes p53/TP53 by affecting its interaction with ubiquitin ligase MDM2 (PubMed:25732823). Represses the transcriptional activator activity of BRCA1 (PubMed:20160719). Inhibits SIRT1 in a CHEK2 and PSEM3-dependent manner and inhibits the activity of CHEK2 in vitro (PubMed:25361978). |
|
Applications: |
WB, IF, IP |
|
Name of antibody: |
CCAR2 |
|
Immunogen: |
Fusion protein of human CCAR2 |
|
Full name: |
cell cycle and apoptosis regulator 2 |
|
Synonyms: |
DBC1; DBC-1; NET35; p30DBC; p30 DBC; KIAA1967 |
|
SwissProt: |
Q8N163 |
|
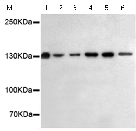
WB Predicted band size: |
103 kDa |
|
WB Positive control: |
COS7, 3T3, C6, Jurkat, A549 and Hela cell lysates |
|
WB Recommended dilution: |
500-2000 |
|
IF positive control: |
Hela cells |
|
IF Recommend dilution: |
100-200 |


購物車
幫助
021-54845833/15800441009
