中文名稱: 兔抗RAF1(Phospho-Tyr341) 多克隆抗體
英文名稱: Anti-RAF1(Phospho-Tyr341) rabbit polyclonal
antibody
別 名: NS5; CRAF; Raf-1; c-Raf; CMD1NN
相關類別: 一抗
儲 存: 冷凍(-20℃) 避光
宿 主: Rabbit
抗 原: RAF1(Phospho-Tyr341)
反應種屬: Human
標 記 物: Unconjugate
克隆類型: rabbit polyclonal
Background:
This gene is the cellular homolog of viral raf gene (v-raf). The encoded protein is a MAP kinase kinase kinase (MAP3K), which functions downstream of the Ras family of membrane associated GTPases to which it binds directly. Once activated, the cellular RAF1 protein can phosphorylate to activate the dual specificity protein kinases MEK1 and MEK2, which in turn phosphorylate to activate the serine/threonine specific protein kinases, ERK1 and ERK2. Activated ERKs are pleiotropic effectors of cell physiology and play an important role in the control of gene expression involved in the cell division cycle, apoptosis, cell differentiation and cell migration. Mutations in this gene are associated with Noonan syndrome 5 and LEOPARD syndrome 2.
Applications:
WB, IHC
Name of antibody:
RAF1(Phospho-Tyr341)
Immunogen:
Peptide sequence around phosphorylation site of tyrosine 341 (S-Y-Y(p)-W-E) derived from Human C-RAF .
Full name:
Raf-1 proto-oncogene, serine/threonine kinase
Synonyms:
NS5; CRAF; Raf-1; c-Raf; CMD1NN
SwissProt:
P04049
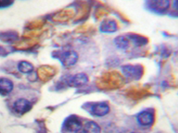
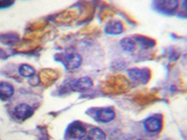
IHC positive control:
Human pancreas tissue
IHC Recommend dilution:
50-100
WB Predicted band size:
73 kDa
WB Positive control:
Jurkat cells lysates treated with Paclitaxel
WB Recommended dilution:
500-1000
技術規格


購物車
幫助
021-54845833/15800441009
