中文名稱: 兔抗EPHB4多克隆抗體
|
Background: |
Ephrin receptors and their ligands, the ephrins, mediate numerous developmental processes, particularly in the nervous system. Based on their structures and sequence relationships, ephrins are divided into the ephrin-A (EFNA) class, which are anchored to the membrane by a glycosylphosphatidylinositol linkage, and the ephrin-B (EFNB) class, which are transmembrane proteins. The Eph family of receptors are divided into 2 groups based on the similarity of their extracellular domain sequences and their affinities for binding ephrin-A and ephrin-B ligands. Ephrin receptors make up the largest subgroup of the receptor tyrosine kinase (RTK) family. The protein encoded by this gene binds to ephrin-B2 and plays an essential role in vascular development. |
|
Applications: |
ELISA, IHC |
|
Name of antibody: |
EPHB4 |
|
Immunogen: |
Synthetic peptide of human EPHB4 |
|
Full name: |
EPH receptor B4 |
|
Synonyms: |
HTK; MYK1; TYRO11 |
|
SwissProt: |
P54760 |
|
ELISA Recommended dilution: |
2000-5000 |
|
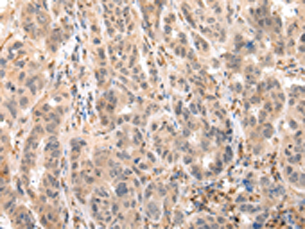
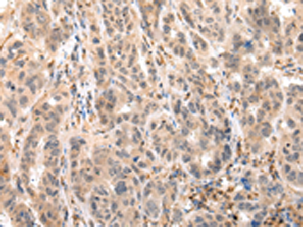
IHC positive control: |
Human breast cancer and Human thyroid cancer |
|
IHC Recommend dilution: |
25-100 |
購物車
幫助
021-54845833/15800441009
