中文名稱: 兔抗RB1 (Phospho-Ser807)多克隆抗體
英文名稱: Anti-RB1 (Phospho-Ser807) rabbit polyclonal antibody
別 名: RB; pRb; OSRC; pp110; p105-Rb
相關類別: 一抗
儲 存: 冷凍(-20℃) 避光
宿 主: Rabbit
抗 原: RB1 (Phospho-Ser807)
反應種屬: Human, Mouse, Rat
標 記 物: Unconjugate
克隆類型: rabbit polyclonal
Background:
Key regulator of entry into cell division that acts as a tumor suppressor. Acts as a transcription repressor of E2F1 target genes. The underphosphorylated, active form of RB1 interacts with E2F1 and represses its transcription activity, leading to cell cycle arrest. Directly involved in heterochromatin formation by maintaining overall chromatin structure and, in particular, that of constitutive heterochromatin by stabilizing histone methylation. Recruits and targets histone methyltransferases SUV39H1, SUV420H1 and SUV420H2, leading to epigenetic transcriptional repression. Controls histone H4 'Lys-20' trimethylation. Inhibits the intrinsic kinase activity of TAF1. In case of viral infections, interactions with SV40 large T antigen, HPV E7 protein or adenovirus E1A protein induce the disassembly of RB1-E2F1 complex thereby disrupting RB1's activity.
Applications:
WB, IHC
Name of antibody:
RB1 (Phospho-Ser807)
Immunogen:
Synthetic peptide of human RB1 (Phospho-Ser807)
Full name:
retinoblastoma 1 (Phospho-Ser807)
Synonyms:
RB; pRb; OSRC; pp110; p105-Rb
SwissProt:
P06400
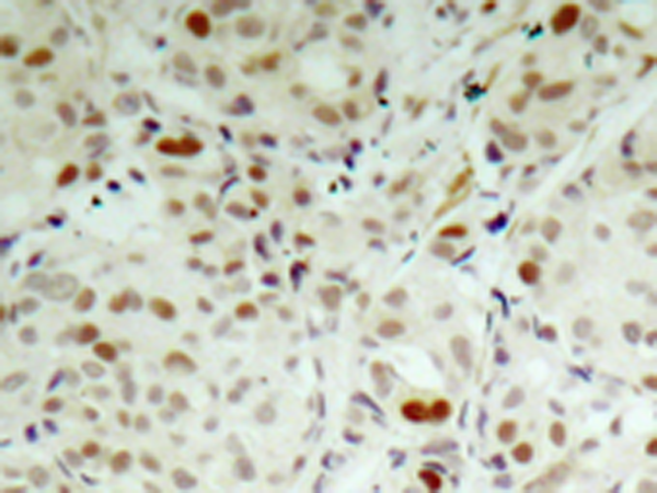
IHC positive control:
Human breast carcinoma
IHC Recommend dilution:
50-100
WB Predicted band size:
106 kDa
WB Positive control:
NIH/3T3 cells treated with UV
WB Recommended dilution:
500-1000
技術規格


購物車
幫助
021-54845833/15800441009
