中文名稱: 兔抗DNPEP多克隆抗體
|
Background: |
The protein encoded by this gene is an aminopeptidase which prefers acidic amino acids, and specifically favors aspartic acid over glutamic acid. It is thought to be a cytosolic protein involved in general metabolism of intracellular proteins. Several transcript variants encoding different isoforms have been found for this gene. |
|
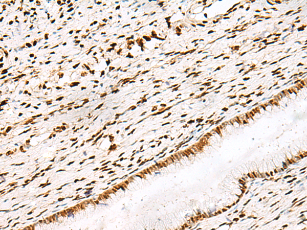
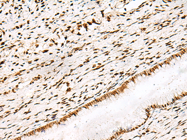
Applications: |
ELISA, IHC |
|
Name of antibody: |
DNPEP |
|
Immunogen: |
Fusion protein of human DNPEP |
|
Full name: |
aspartyl aminopeptidase |
|
Synonyms: |
DAP; ASPEP |
|
SwissProt: |
Q9ULA0 |
|
ELISA Recommended dilution: |
5000-10000 |
|
IHC positive control: |
Human tonsil and Human cervical cancer |
|
IHC Recommend dilution: |
30-150 |

購物車
幫助
021-54845833/15800441009
