中文名稱: 兔抗MTA3多克隆抗體
英文名稱: Anti-MTA3 rabbit polyclonal antibody
相關類別: 一抗
抗 原: MTA3
儲 存: 冷凍(-20℃)
宿 主: Rabbit
反應種屬: Human, Mouse
標 記 物: Unconjugate
克隆類型: rabbit polyclonal
技術規格
|
Background: |
Metastasis-associated protein 3 (MTA3) is a subunit of the Mi-2/NuRD transcriptional corepressor complex. MTA3 and the Mi-2/NuRD complex mediate repression of Snail in breast cancer cells where MTA3 works to maintain a differentiated, epithelial status. The protein is involved in gene expression regulation by covalent modifications of histone proteins. There are two known isoforms of MTA3, a short and a long form. The short isoform binds to ER and sequesters it to the cytoplasm and betters non-genomic responses, whereas the long form is found in the nucleus. MTA3 is widely expressed with highest expression in brain, adrenal glands, ovaries and virgin mammary glands. It has been found to be expressed in higher levels in tumors than in adjacent normal tissue in the same individual. Plays a role in maintenance of the normal epithelial architecture through the repression of SNAI1 transcription in a histone deacetylase-dependent manner, and thus the regulation of E-cadherin levels. Contributes to transcriptional repression by BCL6. |
|
Applications: |
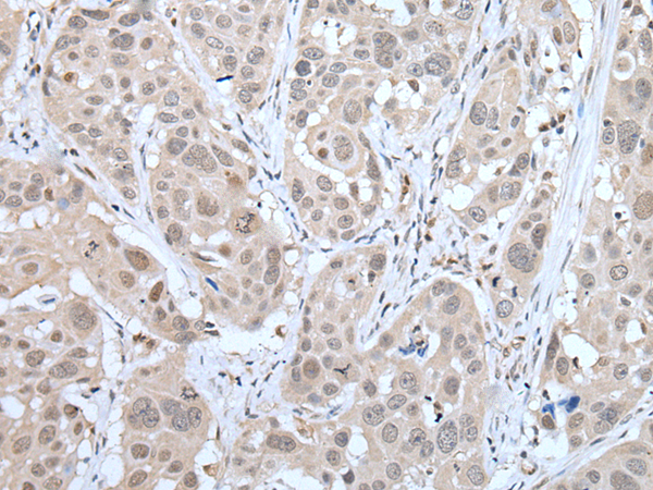
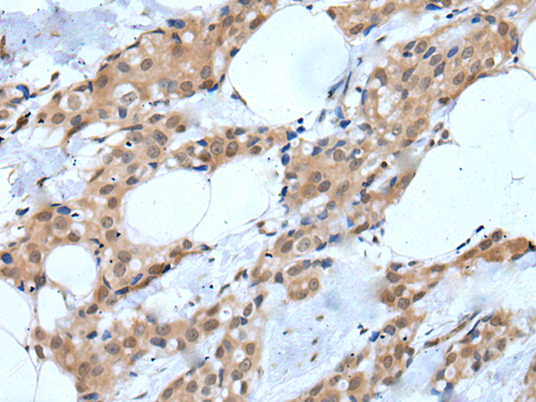
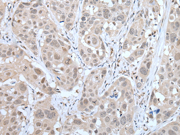
ELISA, IHC |
|
Name of antibody: |
MTA3 |
|
Immunogen: |
Synthetic peptide of human MTA3 |
|
Full name: |
metastasis associated 1 family member 3 |
|
SwissProt: |
Q9BTC8 |
|
ELISA Recommended dilution: |
5000-10000 |
|
IHC positive control: |
Human esophagus cancer and human breast cancer |
|
IHC Recommend dilution: |
25-100 |


購物車
幫助
021-54845833/15800441009
