|
Background: |
Slfn5 (schlafen family member 5) is an 891 amino acid protein that exists as multiple alternatively spliced isoforms and is thought to play a role in hematopoeitic cell differentiation. The gene encoding Slfn5 maps to human chromosome 17, which comprises over 2.5% of the human genome and encodes over 1,200 genes. Two key tumor suppressor genes are associated with chromosome 17, namely, p53 and BRCA1. Tumor suppressor p53 is necessary for maintenance of cellular genetic integrity by moderating cell fate through DNA repair versus cell death. Malfunction or loss of p53 expression is associated with malignant cell growth and Li-Fraumeni syndrome. Like p53, BRCA1 is directly involved in DNA repair, though specifically it is recognized as a genetic determinant of early onset breast cancer and predisposition to cancers of the ovary, colon, prostate gland and fallopian tubes. |
|
Applications: |
ELISA, IHC |
|
Name of antibody: |
SLFN5 |
|
Immunogen: |
Fusion protein of human SLFN5 |
|
Full name: |
schlafen family member 5 |
|
SwissProt: |
Q08AF3 |
|
ELISA Recommended dilution: |
5000-10000 |
|
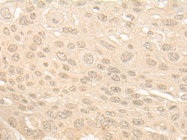
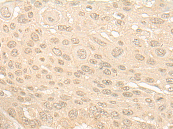
IHC positive control: |
Human esophagus cancer; |
|
IHC Recommend dilution: |
25-100 |
購物車
幫助
021-54845833/15800441009
