|
IHC Recommend dilution: |
100-200 |
|
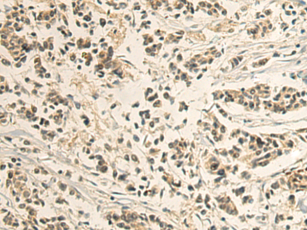
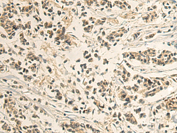
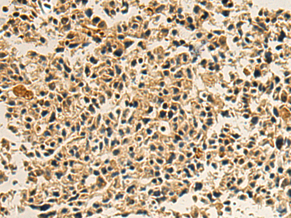
IHC positive control: |
Human ovarian cancer and Human breast cancer |
|
ELISA Recommended dilution: |
5000-10000 |
|
SwissProt: |
Q96PL5 |
|
Synonyms: |
RD; SC; BTN5; PRO2801 |
|
Full name: |
erythroblast membrane associated protein (Scianna blood group) |
|
Immunogen: |
Fusion protein of human ERMAP |
|
Name of antibody: |
ERMAP |
|
Applications: |
ELISA, IHC |
|
Background: |
The protein encoded by this gene is a cell surface transmembrane protein that may act as an erythroid cell receptor, possibly as a mediator of cell adhesion. Polymorphisms in this gene are responsible for the Scianna/Radin blood group system. Two transcript variants encoding the same protein have been found for this gene. [provided by RefSeq, Jul 2008] |

購物車
幫助
021-54845833/15800441009
