中文名稱: 兔抗RELA (Phospho-Thr505)多克隆抗體
英文名稱: Anti-RELA (Phospho-Thr505) rabbit polyclonal antibody
別 名: p65; NFKB3
相關類別: 一抗
儲 存: 冷凍(-20℃) 避光
宿 主:Rabbit
抗 原: RELA (Phospho-Thr505)
反應種屬: Human, Mouse, Rat
標 記 物: Unconjugate
克隆類型: rabbit polyclonal
技術規格
|
Background: |
NF-kappa-B is a pleiotropic transcription factor which is present in almost all cell types and is involved in many biological processed such as inflammation, immunity, differentiation, cell growth, tumorigenesis and apoptosis. NF-kappa-B is a homo- or heterodimeric complex formed by the Rel-like domain-containing proteins RELA/p65, RELB, NFKB1/p105, NFKB1/p50, REL and NFKB2/p52 and the heterodimeric p65-p50 complex appears to be most abundant one. The dimers bind at kappa-B sites in the DNA of their target genes and the individual dimers have distinct preferences for different kappa-B sites that they can bind with distinguishable affinity and specificity. NF-kappa-B complexes are held in the cytoplasm in an inactive state complexed with members of the NF-kappa-B inhibitor (I-kappa-B) family. In a conventional activation pathway, I-kappa-B is phosphorylated by I-kappa-B kinases (IKKs) in response to different activators, subsequently degraded thus liberating the active NF-kappa-B heterodimeric p65-p50 and p65-c-Rel complexes are transcriptional activators. The inhibitory effect of I-kappa-B upon NF-kappa-B the cytoplasm is exerted primarily through the interaction with p65. p65 shows a weak DNA-binding site which could contribute directly to DNA binding in the NF-kappa-B complex. |
|
Applications: |
WB, IHC |
|
Name of antibody: |
RELA (Phospho-Thr505) |
|
Immunogen: |
Synthetic peptide of human RELA (Phospho-Thr505) |
|
Full name: |
v-rel reticuloendotheliosis viral oncogene homolog A (avian) (Phospho-Thr505) |
|
Synonyms: |
p65; NFKB3 |
|
SwissProt: |
Q04206 |
|
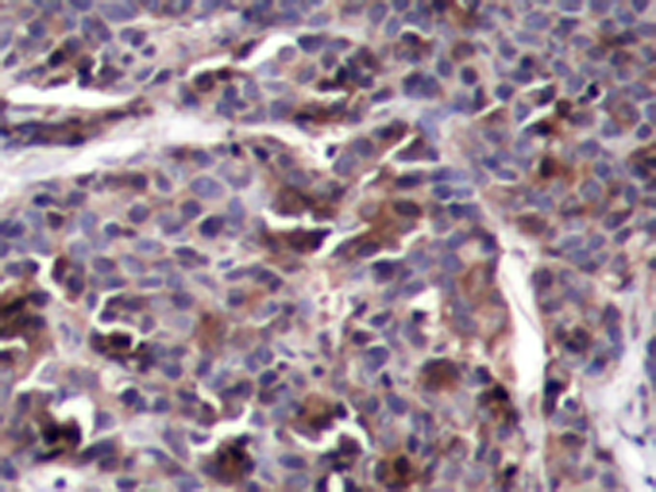
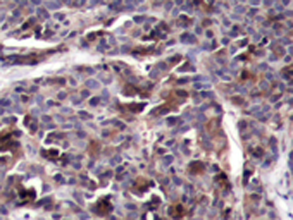
IHC positive control: |
Human breast carcinoma |
|
IHC Recommend dilution: |
50-100 |
|
WB Predicted band size: |
65 kDa |
|
WB Positive control: |
HL60 cells treated with TNF-α |
|
WB Recommended dilution: |
500-1000 |


購物車
幫助
021-54845833/15800441009
