中文名稱:兔抗SIGLEC5多克隆抗體
英文名稱: Anti-SIGLEC5 rabbit polyclonal antibody
別 名: CD170; OBBP2; CD33L2; OB-BP2; SIGLEC-5
相關類別: 一抗
儲 存: 冷凍(-20℃)
抗 原: SIGLEC5
宿 主: Rabbit
反應種屬: Human
標記物: Unconjugate
克隆類型: rabbit polyclonal
技術規格
|
Background: |
This gene encodes a member of the sialic acid-binding immunoglobulin-like lectin (Siglec) family. These cell surface lectins are characterized by structural motifs in the immunoglobulin (Ig)-like domains and sialic acid recognition sites in the first Ig V set domain. The encoded protein is a member of the CD33-related subset of Siglecs and inhibits the activation of several cell types including monocytes, macrophages and neutrophils. Binding of group B Streptococcus (GBS) to the encoded protein plays a role in GBS immune evasion. |
|
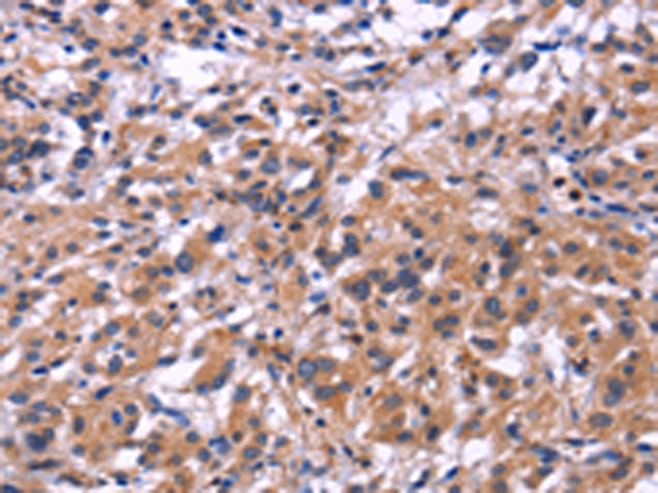
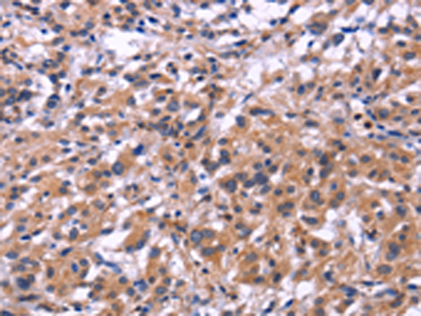
Applications: |
ELISA, IHC |
|
Name of antibody: |
SIGLEC5 |
|
Immunogen: |
Fusion protein of human SIGLEC5 |
|
Full name: |
sialic acid binding Ig-like lectin 5 |
|
Synonyms: |
CD170; OBBP2; CD33L2; OB-BP2; SIGLEC-5 |
|
SwissProt: |
O15389 |
|
ELISA Recommended dilution: |
1000-2000 |
|
IHC positive control: |
Human thyroid cancer and human brain |
|
IHC Recommend dilution: |
25-100 |

購物車
幫助
021-54845833/15800441009
