|
Background: |
This gene encodes a member of the even-skipped homeobox family characterized by the presence of a homeodomain closely related to the Drosophila even-skipped (eve) segmentation gene of the pair-rule class. The encoded protein may play an important role as a transcriptional repressor during embryogenesis. |
|
Applications: |
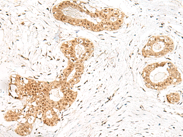
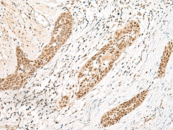
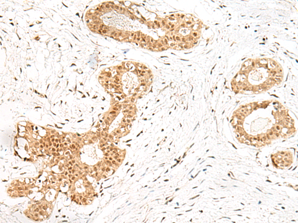
ELISA, IHC |
|
Name of antibody: |
EVX1 |
|
Immunogen: |
Synthetic peptide of human EVX1 |
|
Full name: |
even-skipped homeobox 1 |
|
Synonyms: |
EVX-1 |
|
SwissProt: |
P49640 |
|
ELISA Recommended dilution: |
5000-10000 |
|
IHC positive control: |
Human esophagus cancer and Human breast cancer |
|
IHC Recommend dilution: |
20-100 |

購物車
幫助
021-54845833/15800441009
