中文名稱: 兔抗NPPC多克隆抗體
英文名稱: Anti-NPPC rabbit polyclonal antibody
別 名: INT3, NOTCH3
相關類別: 一抗
儲 存: 冷凍(-20℃)
宿 主: Rabbit
抗 原: NPPC
反應種屬: Human, Mouse, Rat
標 記 物: Unconjugate
克隆類型: rabbit polyclonal
技術規格
|
Background: |
This gene encodes a preproprotein that is proteolytically processed to generate multiple protein products. These products include the cardiac natriuretic peptides CNP-53, CNP-29 and CNP-22, which belong to the natriuretic family of peptides. The encoded peptides exhibit vasorelaxation activity in laboratory animals and elevated levels of CNP-22 have been observed in the plasma of chronic heart failure patients. |
|
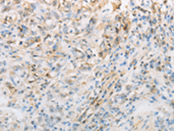
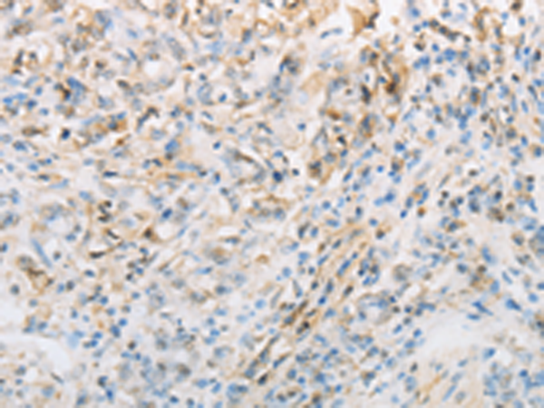
Applications: |
ELISA, IHC |
|
Name of antibody: |
NPPC |
|
Immunogen: |
Synthetic peptide of human NPPC |
|
Full name: |
natriuretic peptide C |
|
Synonyms: |
CNP; CNP2 |
|
SwissProt: |
P23582 |
|
ELISA Recommended dilution: |
2000-10000 |
|
IHC positive control: |
Human gasrtic cancer |
|
IHC Recommend dilution: |
50-200 |

購物車
幫助
021-54845833/15800441009
