中文名稱: 兔抗UBN2多克隆抗體
英文名稱: Anti-UBN2 rabbit polyclonal antibody
相關類別: 一抗
儲 存: 冷凍(-20℃)
宿 主: Rabbit
抗 原: UBN2
反應種屬: Human, Mouse, Rat
標 記 物: Unconjugate
克隆類型: rabbit polyclonal
技術規格
|
Background: |
Ubinuclein 2 (UBN2) is a human ortholog of the yeast protein Hpc2p. It possesses an Hpc2 (histone promoter control 2)-related domain which is highly conserved. |
|
Applications: |
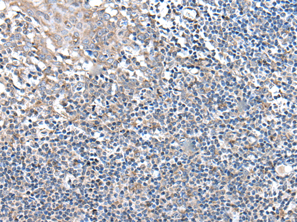
ELISA, IHC |
|
Name of antibody: |
UBN2 |
|
Immunogen: |
Synthetic peptide of human UBN2 |
|
Full name: |
ubinuclein 2 |
|
SwissProt: |
Q6ZU65 |
|
ELISA Recommended dilution: |
5000-10000 |
|
IHC positive control: |
Human tonsil |
|
IHC Recommend dilution: |
20-100 |
購物車
幫助
021-54845833/15800441009
