|
Background: |
FAM110B (Familiarity with sequence similarity 110, member B) is a 370 amino acid protein, which contains several motifs that are conserved among FAM110 family members and a proline-rich region through which it probably binds proteins. Localized to the nucleus where they associate with centrosomes, FAM110A, FAM110B and FAM110C accumulate at the spindle poles during mitosis. Expression of FAM110B and FAM110C impairs cell cycle progression through G1 phase. FAM110B is expressed in testis, thyroid and spleen and is found at lower levels in ovary, adrenal gland, stomach, trachea, intestine, lymph node, spinal cord and prostate. The gene encoding FAM110B maps to human chromosome 8, which is made up of nearly 146 million bases and encodes about 800 genes. Chromosome 8 is also associated with Pfeiffer syndrome, congenital hypothyroidism and Waardenburg syndrome. May be involved in tumor progression. |
|
Applications: |
ELISA, IHC |
|
Name of antibody: |
FAM110B |
|
Immunogen: |
Fusion protein of human FAM110B |
|
Full name: |
family with sequence similarity 110 member B |
|
Synonyms: |
C8orf72 |
|
SwissProt: |
Q8TC76 |
|
ELISA Recommended dilution: |
5000-10000 |
|
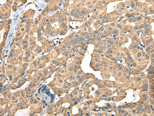
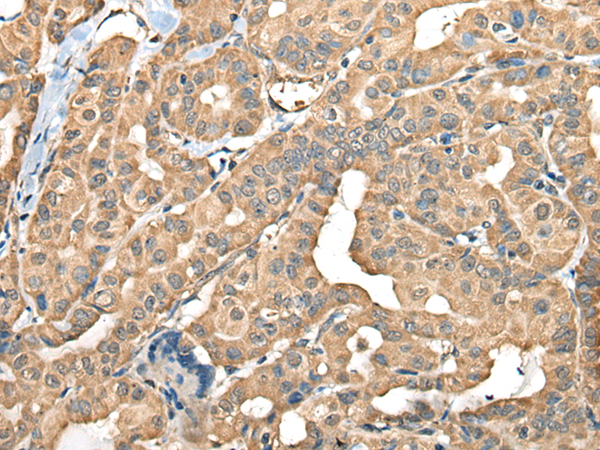
IHC positive control: |
Human thyroid cancer |
|
IHC Recommend dilution: |
40-200 |

購物車
幫助
021-54845833/15800441009
