中文名稱:兔抗RNF138多克隆抗體
英文名稱: Anti-RNF138 rabbit polyclonal antibody
別 名: ring finger protein 138; NARF; HSD-4; STRIN; hNARF
抗 原: RNF138
儲 存: 冷凍(-20℃)
宿 主: Rabbit
反應種屬: Human, Mouse, Rat
相關類別: 一抗
標記物: Unconjugate
克隆類型: rabbit polyclonal
技術規格
|
Background: |
The protein encoded by this gene contains a RING finger, a motif present in a variety of functionally distinct proteins and known to be involved in protein-DNA and protein-protein interactions. Alternatively spliced transcript variants encoding distinct isoforms have been observed. |
|
Applications: |
ELISA, IHC |
|
Name of antibody: |
RNF138 |
|
Immunogen: |
Synthetic peptide of human RNF138 |
|
Full name: |
ring finger protein 138 |
|
Synonyms: |
NARF; HSD-4; STRIN; hNARF |
|
SwissProt: |
Q8WVD3 |
|
ELISA Recommended dilution: |
5000-10000 |
|
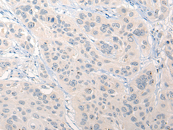
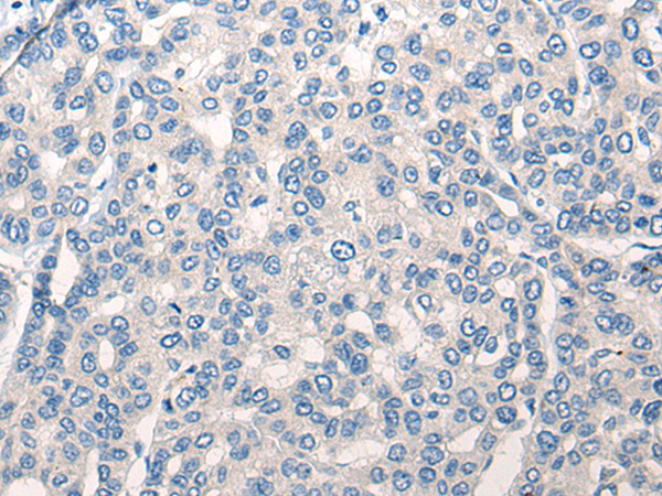
IHC positive control: |
Human esophagus cancer and Human liver cancer |
|
IHC Recommend dilution: |
10-50 |

購物車
幫助
021-54845833/15800441009
