中文名稱: 兔抗NASP多克隆抗體
英文名稱: Anti-NASP rabbit polyclonal antibody
別 名: nuclear autoantigenic sperm protein; HMDRA1; FLB7527; PRO1999
相關類別: 一抗
儲 存: 冷凍(-20℃)
宿 主: Rabbit
抗 原: NASP
反應種屬: Human, Mouse, Rat
標 記 物: Unconjugate
克隆類型: rabbit polyclonal
技術規格
|
Background: |
This gene encodes a H1 histone binding protein that is involved in transporting histones into the nucleus of dividing cells. Multiple isoforms are encoded by transcript variants of this gene. The somatic form is expressed in all mitotic cells, is localized to the nucleus, and is coupled to the cell cycle. The testicular form is expressed in embryonic tissues, tumor cells, and the testis. In male germ cells, this protein is localized to the cytoplasm of primary spermatocytes, the nucleus of spermatids, and the periacrosomal region of mature spermatozoa. |
|
Applications: |
ELISA, WB, IHC |
|
Name of antibody: |
NASP |
|
Immunogen: |
Fusion protein of human NASP |
|
Full name: |
nuclear autoantigenic sperm protein |
|
Synonyms: |
HMDRA1; FLB7527; PRO1999 |
|
SwissProt: |
P49321 |
|
ELISA Recommended dilution: |
5000-10000 |
|
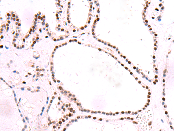
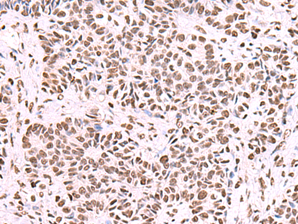
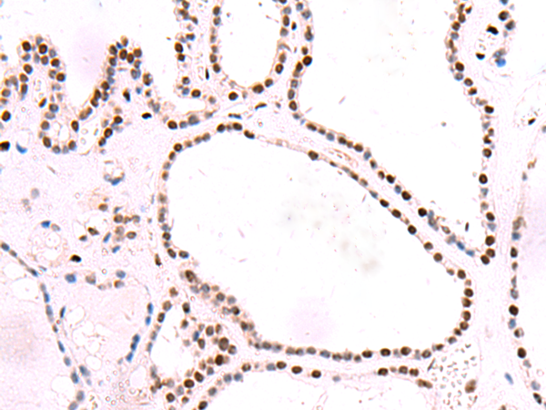
IHC positive control: |
Human ovarian cancer and Human thyroid cancer |
|
IHC Recommend dilution: |
50-300 |
|
WB Predicted band size: |
85 kDa |
|
WB Positive control: |
HepG2 cell lysate |
|
WB Recommended dilution: |
500-2000 |


購物車
幫助
021-54845833/15800441009
