中文名稱:兔抗RNH1多克隆抗體
英文名稱: Anti-RNH1 rabbit polyclonal antibody
別 名: RAI; RNH
相關類別: 一抗
儲 存: 冷凍(-20℃)
宿 主: Rabbit
抗 原: RNH1
反應種屬: Human
標記物: Unconjugate
克隆類型: rabbit polyclonal
技術規格
|
Background: |
Placental ribonuclease inhibitor (PRI) is a member of a family of proteinaceous cytoplasmic RNase inhibitors that occur in many tissues and bind to both intracellular and extracellular RNases (summarized by Lee et al., 1988 [PubMed 3219362]). In addition to control of intracellular RNases, the inhibitor may have a role in the regulation of angiogenin (MIM 105850). Ribonuclease inhibitor, of 50,000 Da, binds to ribonucleases and holds them in a latent form. |
|
Applications: |
ELISA, WB, IHC |
|
Name of antibody: |
RNH1 |
|
Immunogen: |
Fusion protein of human RNH1 |
|
Full name: |
ribonuclease/angiogenin inhibitor 1 |
|
Synonyms: |
RAI; RNH |
|
SwissProt: |
P13489 |
|
ELISA Recommended dilution: |
2000-5000 |
|
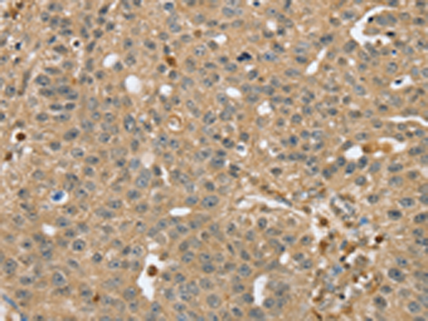
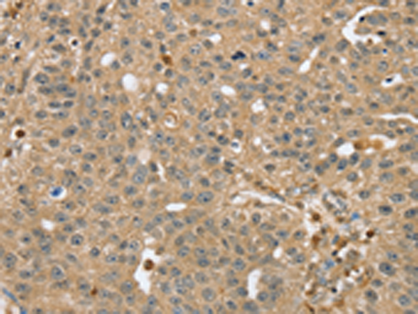
IHC positive control: |
Human breast cancer and human brain |
|
IHC Recommend dilution: |
25-100 |
|
WB Predicted band size: |
50 kDa |
|
WB Positive control: |
Human fetal brain and normal liver tissue, human normal kidney tissue and hepg2 cells |
|
WB Recommended dilution: |
500-2000 |


購物車
幫助
021-54845833/15800441009
