中文名稱: 兔抗UCN3多克隆抗體
|
Background: |
This gene encodes a member of the sauvagine/corticotropin-releasing factor/urotensin I family of proteins. The encoded preproprotein is proteolytically processed to generate the mature peptide hormone, which is secreted by pancreatic beta and alpha cells. This hormone is an endogenous ligand for corticotropin-releasing factor receptor 2 and may regulate insulin secretion in response to plasma glucose levels. Patients with type 2 diabetes exhibit reduced levels of the encoded protein in beta cells. In the brain, the encoded protein may be responsible for the effects of stress on appetite. |
|
Applications: |
ELISA, IHC |
|
Name of antibody: |
UCN3 |
|
Immunogen: |
Synthetic peptide of human UCN3 |
|
Full name: |
urocortin 3 |
|
Synonyms: |
SCP; SPC; UCNIII |
|
SwissProt: |
Q969E3 |
|
ELISA Recommended dilution: |
5000-10000 |
|
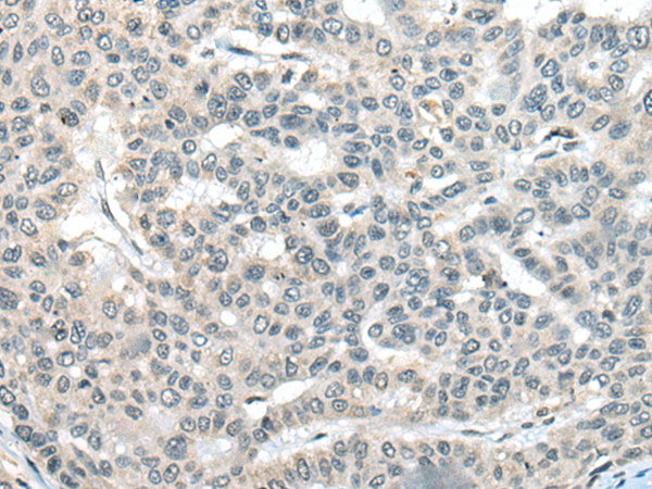
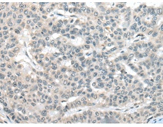
IHC positive control: |
Human liver cancer and human brain |
|
IHC Recommend dilution: |
50-300 |

購物車
幫助
021-54845833/15800441009
