中文名稱:小鼠抗DDX3X單克隆抗體
|
Background: |
The protein encoded by this gene is a member of the large DEAD-box protein family, that is defined by the presence of the conserved Asp-Glu-Ala-Asp (DEAD) motif, and has ATP-dependent RNA helicase activity. This protein has been reported to display a high level of RNA-independent ATPase activity, and unlike most DEAD-box helicases, the ATPase activity is thought to be stimulated by both RNA and DNA. This protein has multiple conserved domains and is thought to play roles in both the nucleus and cytoplasm. Nuclear roles include transcriptional regulation, mRNP assembly, pre-mRNA splicing, and mRNA export. In the cytoplasm, this protein is thought to be involved in translation, cellular signaling, and viral replication. Misregulation of this gene has been implicated in tumorigenesis. This gene has a paralog located in the nonrecombining region of the Y chromosome. Pseudogenes sharing similarity to both this gene and the DDX3Y paralog are found on chromosome 4 and the X chromosome. Alternative splicing results in multiple transcript variants. |
|
Applications: |
WB, IP, IF |
|
Name of antibody: |
DDX3X |
|
Immunogen: |
Fusion protein of human DDX3X |
|
Full name: |
DEAD-box helicase 3, X-linked |
|
Synonyms: |
DBX; DDX3; HLP2; DDX14; CAP-Rf; MRX102 |
|
SwissProt: |
O00571 |
|
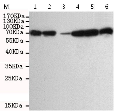
WB Predicted band size: |
73 kDa |
|
WB Positive control: |
Jurkat, K562, COS7, C6, 3T3 and Hela cell lysate |
|
WB Recommended dilution: |
1000-5000 |
|
IF positive control: |
Hela cells |
|
IF Recommend dilution: |
100-200 |


購物車
幫助
021-54845833/15800441009
