中文名稱:兔抗RPL36多克隆抗體
英文名稱: Anti-RPL36 rabbit polyclonal antibody
別 名: L36
抗 原: RPL36
儲 存: 冷凍(-20℃) 避光
宿 主: Rabbit
反應種屬: Human
相關類別: 一抗
標記物: Unconjugate
克隆類型: rabbit polyclonal
Background:
Ribosomes, the organelles that catalyze protein synthesis, consist of a small 40S subunit and a large 60S subunit. Together these subunits are composed of 4 RNA species and approximately 80 structurally distinct proteins. This gene encodes a ribosomal protein that is a component of the 60S subunit. The protein belongs to the L36E family of ribosomal proteins. It is located in the cytoplasm. Transcript variants derived from alternative splicing exist; they encode the same protein. As is typical for genes encoding ribosomal proteins, there are multiple processed pseudogenes of this gene dispersed through the genome.
Applications:
WB, IHC, IF
Name of antibody:
RPL36
Immunogen:
Synthesized peptide derived from internal of human RPL36.
Full name:
ribosomal protein L36
Synonyms:
L36
SwissProt:
Q9Y3U8
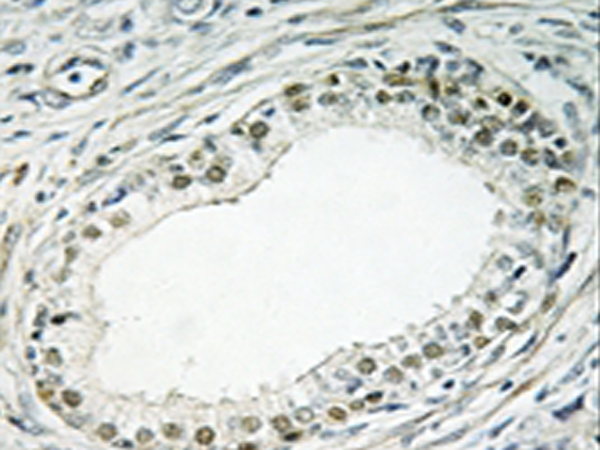
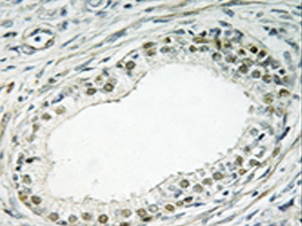
IHC positive control:
Human prostate carcinoma tissue
IHC Recommend dilution:
50-100
WB Predicted band size:
12 kDa
WB Positive control:
COLO cells lysate
WB Recommended dilution:
500-3000
IF positive control:
A549 cells
IF Recommend dilution:
100-500
技術規格



購物車
幫助
021-54845833/15800441009
