|
Background: |
The protein encoded by this gene is a member of the Toll-like receptor (TLR) family, which plays a fundamental role in pathogen recognition and activation of innate immunity. TLRs are highly conserved from Drosophila to humans and share structural and functional similarities. They recognize pathogen-associated molecular patterns (PAMPs) that are expressed on infectious agents, and mediate the production of cytokines necessary for the development of effective immunity. Studies in mice and human indicate that this receptor mediates cellular response to unmethylated CpG dinucleotides in bacterial DNA to mount an innate immune response. |
|
Applications: |
ELISA, IHC |
|
Name of antibody: |
TLR9 |
|
Immunogen: |
Synthetic peptide of human TLR9 |
|
Full name: |
toll like receptor 9 |
|
Synonyms: |
CD289 |
|
SwissProt: |
Q9NR96 |
|
ELISA Recommended dilution: |
5000-10000 |
|
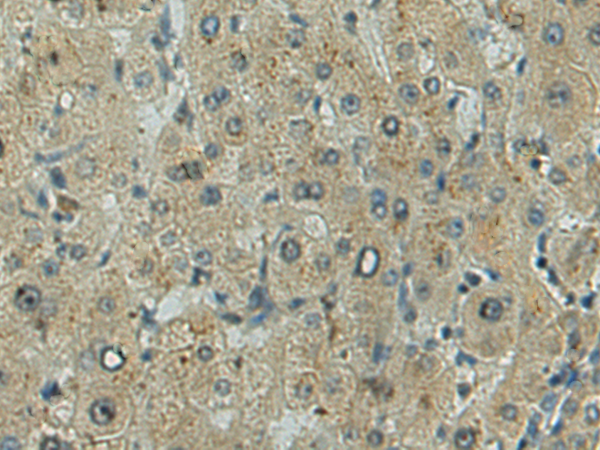
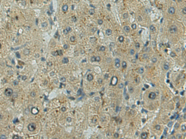
IHC positive control: |
Human liver cancer |
|
IHC Recommend dilution: |
50-100 |
購物車
幫助
021-54845833/15800441009
