中文名稱: 兔抗RPS6KA1 (Phospho-Thr348)多克隆抗體
英文名稱: Anti-RPS6KA1 (Phospho-Thr348) rabbit polyclonal antibody
別 名: RSK; HU-1; RSK1; MAPKAPK1A
相關類別: 一抗
儲 存: 冷凍(-20℃) 避光
宿 主: Rabbit
抗 原: RPS6KA1 (Phospho-Thr348)
反應種屬: Human, Mouse, Rat
標 記 物: Unconjugate
克隆類型: rabbit polyclonal
Background:
This gene encodes a member of the RSK (ribosomal S6 kinase) family of serine/threonine kinases. This kinase contains 2 nonidentical kinase catalytic domains and phosphorylates various substrates, including members of the mitogen-activated kinase (MAPK) signalling pathway. The activity of this protein has been implicated in controlling cell growth and differentiation. Alternate transcriptional splice variants, encoding different isoforms, have been characterized. Serine/threonine kinase that may play a role in mediating the growth-factor and stress induced activation of the transcription factor CREB.
Applications:
WB, IHC, IF
Name of antibody:
RPS6KA1 (Phospho-Thr348)
Immunogen:
Synthetic peptide of human RPS6KA1 (Phospho-Thr348)
Full name:
ribosomal protein S6 kinase, 90kDa, polypeptide 1 (Phospho-Thr348)
Synonyms:
RSK; HU-1; RSK1; MAPKAPK1A
SwissProt:
Q15418
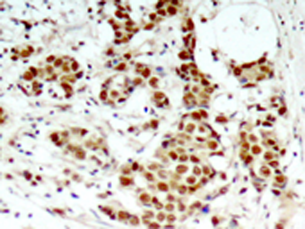
IHC positive control:
Human breast carcinoma
IHC Recommend dilution:
50-100
WB Predicted band size:
90 kDa
WB Positive control:
Hela cells untreated or treated with UV
WB Recommended dilution:
500-1000
IF Positive control:
Hela cells
IF Recommended dilution
100-200
技術規格


購物車
幫助
021-54845833/15800441009
