中文名稱: 兔抗PTGER3多克隆抗體
英文名稱: Anti-PTGER3 rabbit polyclonal antibody
別 名: prostaglandin E receptor 3; EP3; EP3e; EP3-I; EP3-II; EP3-IV; EP3-VI; PGE2-R; EP3-III
相關類別: 一抗
儲 存: 冷凍(-20℃)
宿 主: Rabbit
抗 原: PTGER3
反應種屬: Human
標 記 物: Unconjugate
克隆類型: rabbit polyclonal
技術規格
|
Background: |
The protein encoded by this gene is a member of the G-protein coupled receptor family. This protein is one of four receptors identified for prostaglandin E2 (PGE2). This receptor may have many biological functions, which involve digestion, nervous system, kidney reabsorption, and uterine contraction activities. Studies of the mouse counterpart suggest that this receptor may also mediate adrenocorticotropic hormone response as well as fever generation in response to exogenous and endogenous stimuli. Multiple transcript variants encoding different isoforms have been found for this gene. |
|
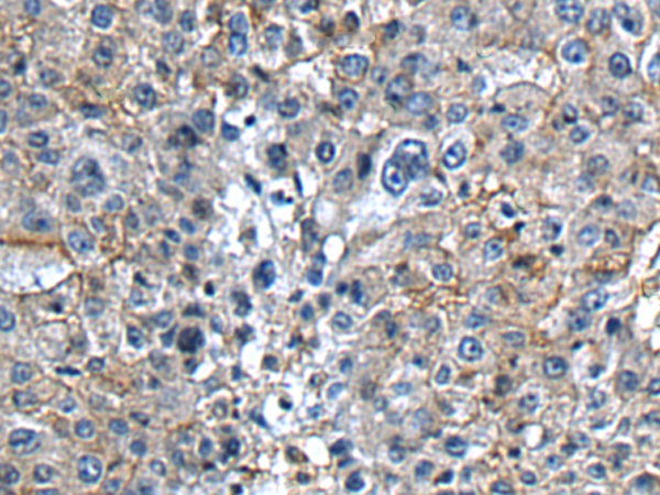
Applications: |
ELISA, IHC |
|
Name of antibody: |
PTGER3 |
|
Immunogen: |
Synthetic peptide of human PTGER3 |
|
Full name: |
prostaglandin E receptor 3 |
|
Synonyms: |
EP3; EP3e; EP3-I; EP3-II; EP3-IV; EP3-VI; PGE2-R; EP3-III |
|
SwissProt: |
P43115 |
|
ELISA Recommended dilution: |
5000-10000 |
|
IHC positive control: |
Human liver cancer |
|
IHC Recommend dilution: |
50-100 |

購物車
幫助
021-54845833/15800441009
