英文名稱: Anti-CDK6 (phospho-Tyr24) rabbit polyclonal antibody
別 名: PLSTIRE
相關類別: 一抗
儲 存: 冷凍(-20℃) 避光
宿 主: Rabbit
抗 原: CDK6 (phospho-Tyr24)
反應種屬: Human Mouse Rat
標 記 物: Unconjugate
克隆類型: rabbit polyclonal
技術規格
|
Background: |
The protein encoded by this gene is a member of the cyclin-dependent protein kinase (CDK) family. CDK family members are highly similar to the gene products of Saccharomyces cerevisiae cdc28, and Schizosaccharomyces pombe cdc2, and are known to be important regulators of cell cycle progression. This kinase is a catalytic subunit of the protein kinase complex that is important for cell cycle G1 phase progression and G1/S transition. The activity of this kinase first appears in mid-G1 phase, which is controlled by the regulatory subunits including D-type cyclins and members of INK4 family of CDK inhibitors. This kinase, as well as CDK4, has been shown to phosphorylate, and thus regulate the activity of, tumor suppressor protein Rb. Expression of this gene is up-regulated in some types of cancer. Multiple alternatively spliced variants, encoding the same protein, have been identified. |
|
Applications: |
WB, IHC, IF |
|
Name of antibody: |
CDK6 (phospho-Tyr24) |
|
Immunogen: |
Synthetic peptide of human CDK6 (phospho-Tyr24) |
|
Full name: |
cyclin-dependent kinase 6 (phospho-Tyr24) |
|
Synonyms: |
PLSTIRE |
|
SwissProt: |
Q00534 |
|
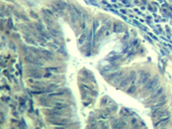
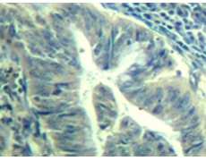
IHC positive control: |
Human colon carcinoma |
|
IHC Recommend dilution: |
50-100 |
|
WB Predicted band size: |
37 kDa |
|
WB Positive control: |
293 cells treated with starvation |
|
WB Recommended dilution: |
500-1000 |
|
IF Positive control: |
Hela cells |
|
IF Recommended dilution |
100-200 |



購物車
幫助
021-54845833/15800441009
