中文名稱: 兔抗NEGR1多克隆抗體
英文名稱: Anti-NEGR1 rabbit polyclonal antibody
別 名: neuronal growth regulator 1; Ntra; KILON; IGLON4; DMML2433
相關類別: 一抗
儲 存: 冷凍(-20℃)
宿 主: Rabbit
抗 原: NEGR1
反應種屬: Human, Mouse, Rat
標 記 物: Unconjugate
克隆類型: rabbit polyclonal
技術規格
|
Background: |
May be involved in cell-adhesion. May function as a trans-neural growth-promoting factor in regenerative axon sprouting in the mammalian brain (By similarity). |
|
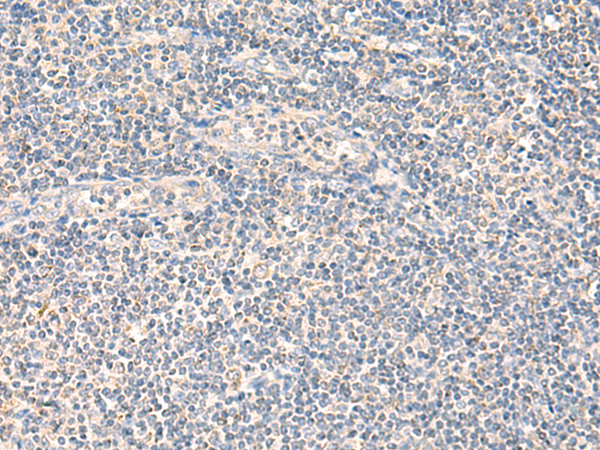
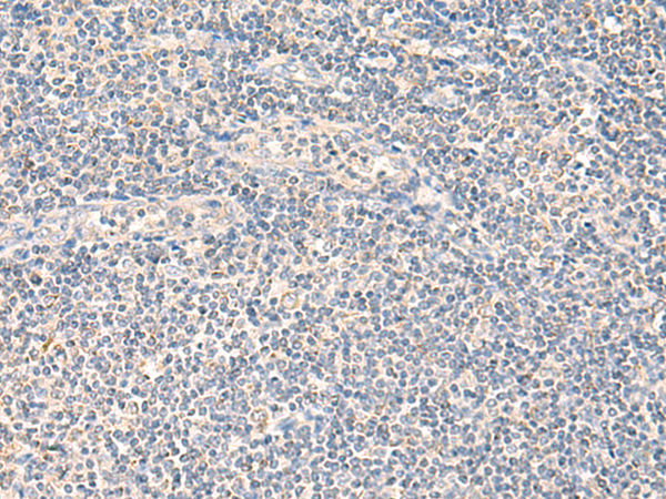
Applications: |
ELISA, IHC |
|
Name of antibody: |
NEGR1 |
|
Immunogen: |
Fusion protein of human NEGR1 |
|
Full name: |
neuronal growth regulator 1 |
|
Synonyms: |
Ntra; KILON; IGLON4; DMML2433 |
|
SwissProt: |
Q7Z3B1 |
|
ELISA Recommended dilution: |
5000-10000 |
|
IHC positive control: |
Human tonsil |
|
IHC Recommend dilution: |
50-300 |

購物車
幫助
021-54845833/15800441009
