中文名稱: 兔抗MANSC1多克隆抗體
英文名稱: Anti-MANSC1 rabbit polyclonal antibody
別 名: MANSC domain containing 1; LOH12CR3; 9130403P13Rik
相關類別: 一抗
儲 存: 冷凍(-20℃)
宿 主: Rabbit
抗 原: MANSC1
反應種屬: Human
標 記 物: Unconjugate
克隆類型: rabbit polyclonal
技術規格
Background:
MANSC1 (MANSC domain-containing protein 1), also known as LOH12CR3 (Loss of heterozygosity 12 chromosomal region 3 protein), is a 414 amino acid single-pass membrane protein. Expressed throughout the body, MANSC1 contains one MANSC domain and is encoded by a gene that is located on chromosome 12. Encoding over 1,100 genes within 132 million bases, chromosome 12 makes up about 4.5% of the human genome. A number of skeletal deformities are linked to chromosome 12, including hypochondrogenesis, achondrogenesis and Kniest dysplasia. Chromosome 12 is also home to a homeobox gene cluster which encodes crucial transcription factors for morphogenesis, and the natural killer complex gene cluster encoding C-type lectin proteins which mediate the NK cell response to MHC I interaction.
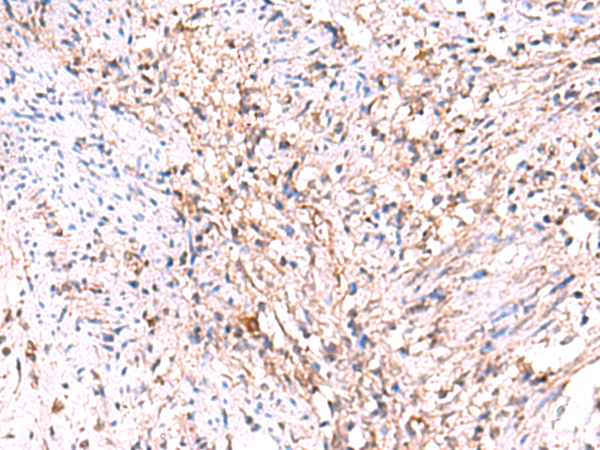
Applications:
ELISA, IHC
Name of antibody:
MANSC1
Immunogen:
Fusion protein of human MANSC1
Full name:
MANSC domain containing 1
Synonyms:
LOH12CR3; 9130403P13Rik
SwissProt:
Q9H8J5
ELISA Recommended dilution:
5000-10000
IHC positive control:
Human tonsil and Human cervical cancer
IHC Recommend dilution:
50-300


購物車
幫助
021-54845833/15800441009
