中文名稱: 兔抗RUFY4多克隆抗體
英文名稱: Anti-RUFY4 rabbit polyclonal antibody
別 名: ZFYVE31
抗 原: RUFY4
儲 存: 冷凍(-20℃)
相關類別: 一抗
宿 主: Rabbit
反應種屬: Human
標 記 物: Unconjugate
克隆類型: rabbit polyclonal
技術規格
|
Background: |
The function of this protein remains unknown. |
|
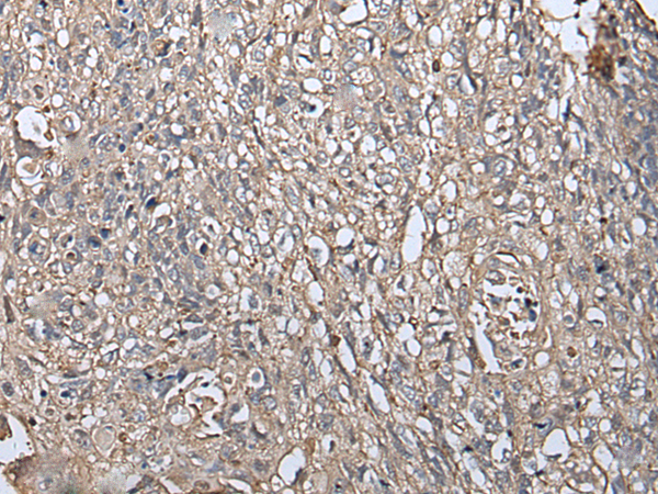
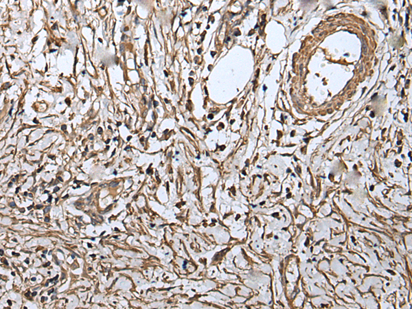
Applications: |
ELISA, IHC |
|
Name of antibody: |
RUFY4 |
|
Immunogen: |
Fusion protein of human RUFY4 |
|
Full name: |
RUN and FYVE domain containing 4 |
|
Synonyms: |
ZFYVE31 |
|
SwissProt: |
Q6ZNE9 |
|
ELISA Recommended dilution: |
5000-10000 |
|
IHC positive control: |
Human lung cancer and human gastric cancer |
|
IHC Recommend dilution: |
25-100 |

購物車
幫助
021-54845833/15800441009
