中文名稱: 兔抗PPIG多克隆抗體
英文名稱: Anti-PPIG rabbit polyclonal antibody
別 名: CYP; SRCyp; SCAF10; CARS-Cyp
抗 原: PPIG
儲 存: 冷凍(-20℃)
宿 主: Rabbit
反應種屬: Human, Mouse, Rat
相關類別: 一抗
標 記 物: Unconjugate
克隆類型: rabbit polyclonal
技術規格
|
Background: |
PPIases accelerate the folding of proteins. It catalyzes the cis-trans isomerization of proline imidic peptide bonds in oligopeptides. May be implicated in the folding, transport, and assembly of proteins. May play an important role in the regulation of pre-mRNA splicing. |
|
Applications: |
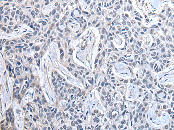
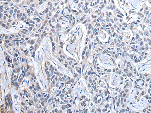
ELISA, IHC |
|
Name of antibody: |
PPIG |
|
Immunogen: |
Fusion protein of human PPIG |
|
Full name: |
peptidylprolyl isomerase G |
|
Synonyms: |
CYP; SRCyp; SCAF10; CARS-Cyp |
|
SwissProt: |
Q13427 |
|
ELISA Recommended dilution: |
5000-10000 |
|
IHC positive control: |
Human lung cancer |
|
IHC Recommend dilution: |
35-200 |

購物車
幫助
021-54845833/15800441009
