中文名稱: 兔抗RUSC1多克隆抗體
英文名稱: Anti-RUSC1 rabbit polyclonal antibody
別 名: RUN and SH3 domain containing 1; NESCA
抗 原: RUSC1
儲 存: 冷凍(-20℃)
宿 主: Rabbit
反應種屬: Human
相關類別: 一抗
標 記 物: Unconjugate
克隆類型: rabbit polyclonal
技術規格
|
Background: |
Putative signaling adapter which may play a role in neuronal differentiation. May be involved in regulation of NGF-dependent neurite outgrowth. Proposed to play a role in neuronal vesicular trafficking, specifically involving pre-synaptic membrane proteins. Seems to be involved in signaling pathways that are regulated by the prolonged activation of MAPK. Can regulate the polyubiquitination of IKBKG and thus may be involved in regulation of the NF-kappa-B pathway. |
|
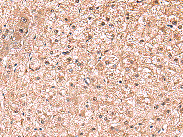
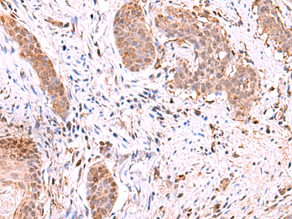
Applications: |
ELISA, IHC |
|
Name of antibody: |
RUSC1 |
|
Immunogen: |
Fusion protein of human RUSC1 |
|
Full name: |
RUN and SH3 domain containing 1 |
|
Synonyms: |
NESCA |
|
SwissProt: |
Q9BVN2 |
|
ELISA Recommended dilution: |
5000-10000 |
|
IHC positive control: |
Human colorectal cancer |
|
IHC Recommend dilution: |
50-300 |

購物車
幫助
021-54845833/15800441009
