中文名稱:兔抗ZBTB18多克隆抗體
|
Background: |
This gene encodes a C2H2-type zinc finger protein which acts a transcriptional repressor of genes involved in neuronal development. The encoded protein recognizes a specific sequence motif and recruits components of chromatin to target genes. Alternative splicing results in multiple transcript variants. |
|
Applications: |
ELISA, IHC |
|
Name of antibody: |
ZBTB18 |
|
Immunogen: |
Fusion protein of human ZBTB18 |
|
Full name: |
zinc finger and BTB domain containing 18 |
|
Synonyms: |
RP58; MRD22; TAZ-1; ZNF238; C2H2-171 |
|
SwissProt: |
Q99592 |
|
ELISA Recommended dilution: |
5000-10000 |
|
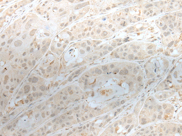
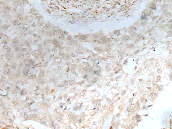
IHC positive control: |
Human esophagus cancer and human lung cancer |
|
IHC Recommend dilution: |
20-100 |

購物車
幫助
021-54845833/15800441009
