中文名稱: 兔抗RUVBL2多克隆抗體
英文名稱: Anti-RUVBL2 rabbit polyclonal antibody
別 名: RVB2; TIH2; ECP51; TIP48; CGI-46; INO80J; REPTIN;
相關類別: 一抗
儲 存: 冷凍(-20℃) 避光
抗 原: RUVBL2
宿 主: Rabbit
反應種屬: Human, Mouse, Rat
標 記 物: Unconjugate
克隆類型: rabbit polyclonal
技術規格
|
Background: |
This gene encodes the second human homologue of the bacterial RuvB gene. Bacterial RuvB protein is a DNA helicase essential for homologous recombination and DNA double-strand break repair. Functional analysis showed that this gene product has both ATPase and DNA helicase activities. This gene is physically linked to the CGB/LHB gene cluster on chromosome 19q13.3, and is very close (55 nt) to the LHB gene, in the opposite orientation. |
|
Applications: |
WB, IHC |
|
Name of antibody: |
RUVBL2 |
|
Immunogen: |
Fusion protein of human RUVBL2 |
|
Full name: |
RuvB-like AAA ATPase 2 |
|
Synonyms: |
RVB2; TIH2; ECP51; TIP48; CGI-46; INO80J; REPTIN; TIP49B |
|
SwissProt: |
Q9Y230 |
|
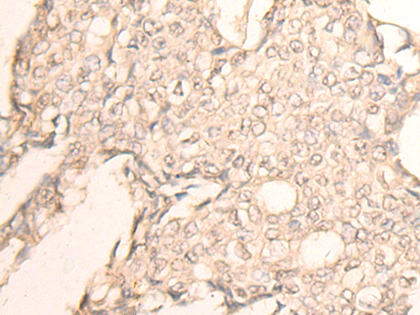
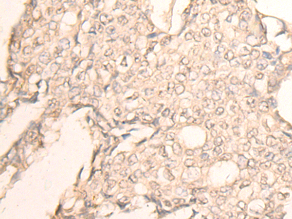
IHC positive control: |
Human esophagus cancer |
|
IHC Recommend dilution: |
25-100 |
|
WB Predicted band size: |
51 kDa |
|
WB Positive control: |
K562, hela, Jurkat and 293T cell |
|
WB Recommended dilution: |
500-2000 |
購物車
幫助
021-54845833/15800441009
