中文名稱: 兔抗GRIPAP1多克隆抗體
|
Background: |
This gene encodes a guanine nucleotide exchange factor for the Ras family of small G proteins (RasGEF). The encoded protein interacts in a complex with glutamate receptor interacting protein 1 (GRIP1) and plays a role in the regulation of AMPA receptor function. |
|
Applications: |
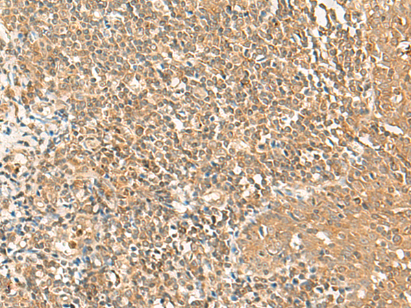
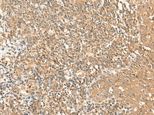
ELISA, IHC |
|
Name of antibody: |
GRIPAP1 |
|
Immunogen: |
Synthetic peptide of human GRIPAP1 |
|
Full name: |
GRIP1 associated protein 1 |
|
Synonyms: |
GRASP-1 |
|
SwissProt: |
Q4V328 |
|
ELISA Recommended dilution: |
5000-10000 |
|
IHC positive control: |
Human tonsil |
|
IHC Recommend dilution: |
50-300 |
購物車
幫助
021-54845833/15800441009
