中文名稱:兔抗SAMM50多克隆抗體
英文名稱: Anti-SAMM50 rabbit polyclonal antibody
別 名: SAMM50 sorting and assembly machinery component; OMP85; SAM50; TOB55; TRG-3; CGI-51; YNL026W
相關類別: 一抗
儲 存: 冷凍(-20℃)
宿 主: Rabbit
抗 原: SAMM50
反應種屬: Human, Mouse, Rat
標記物: Unconjugate
克隆類型: rabbit polyclonal
技術規格
|
Background: |
This gene encodes a component of the Sorting and Assembly Machinery (SAM) of the mitochondrial outer membrane. The Sam complex functions in the assembly of beta-barrel proteins into the outer mitochondrial membrane. |
|
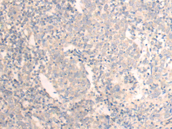
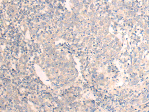
Applications: |
ELISA, IHC |
|
Name of antibody: |
SAMM50 |
|
Immunogen: |
Fusion protein of human SAMM50 |
|
Full name: |
SAMM50 sorting and assembly machinery component |
|
Synonyms: |
OMP85; SAM50; TOB55; TRG-3; CGI-51; YNL026W |
|
SwissProt: |
Q9Y512 |
|
ELISA Recommended dilution: |
5000-10000 |
|
IHC positive control: |
Human cervical cancer |
|
IHC Recommend dilution: |
25-100 |
購物車
幫助
021-54845833/15800441009
