中文名稱:兔抗SCGB2A2多克隆抗體
英文名稱: Anti-SCGB2A2 rabbit polyclonal antibody
別 名: MGB1; UGB2
相關類別: 一抗
儲 存: 冷凍(-20℃) 避光
抗 原: SCGB2A2
宿 主: Rabbit
反應種屬: Human Rat
標記物: Unconjugate
克隆類型: Unconjugate
Background:
Belongs to the secretoglobin family. Lipophilin subfamily. 2 isoforms of the human protein are produced by alternative splicing.
Applications:
WB, IHC, IF
Name of antibody:
SCGB2A2
Immunogen:
Synthesized peptide derived from human mammaglobin .
Full name:
secretoglobin, family 2A, member 2
Synonyms:
MGB1; UGB2
SwissProt:
Q13296
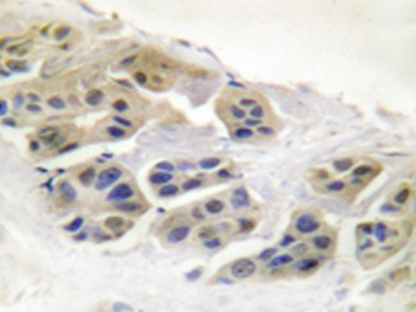
IHC positive control:
Human breast carcinoma tissue
IHC Recommend dilution:
50-100
WB Predicted band size:
10 kDa
WB Positive control:
HepG2 cells lysate
WB Recommended dilution:
500-3000
IF positive control:
HepG2 cells
IF Recommend dilution:
100-500
技術規格


購物車
幫助
021-54845833/15800441009
