中文名稱:兔抗ACTG2多克隆抗體
|
Background: |
Actins are highly conserved proteins that are involved in various types of cell motility and are ubiquitously expressed in all eukaryotic cells. |
|
Applications: |
WB, IHC |
|
Name of antibody: |
ACTG2 |
|
Immunogen: |
Synthesized peptide derived from human Actin-γ2. |
|
Full name: |
actin, gamma 2, smooth muscle, enteric |
|
Synonyms: |
ACT; ACTE; VSCM; ACTA3; ACTL3; ACTSG |
|
SwissProt: |
P63267 |
|
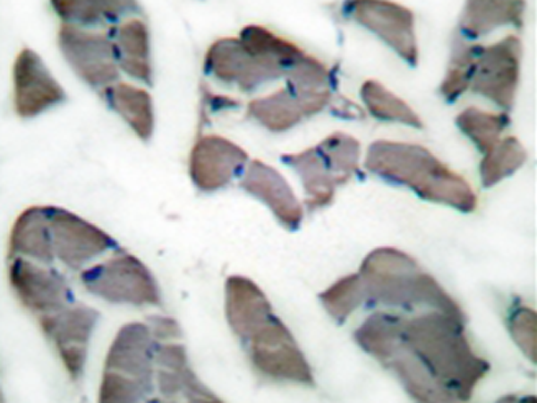
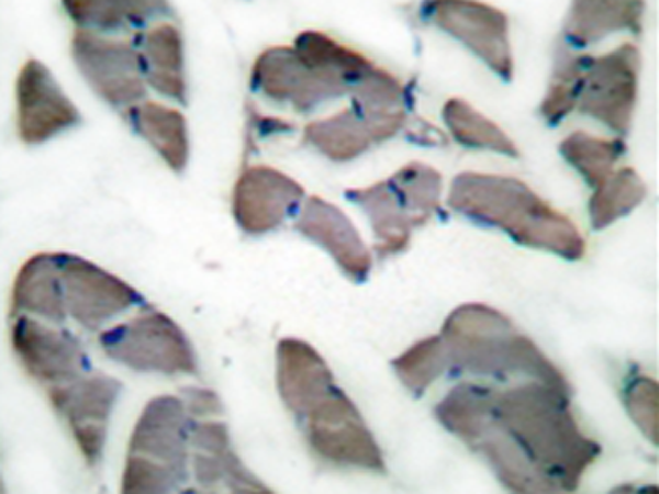
IHC positive control: |
Human muscle tissue |
|
IHC Recommend dilution: |
50-100 |
|
WB Predicted band size: |
42 kDa |
|
WB Positive control: |
COLO205 cells lysate |
|
WB Recommended dilution: |
500-3000 |
購物車
幫助
021-54845833/15800441009
