中文名稱: 兔抗SCN5A多克隆抗體
英文名稱: Anti-SCN5A rabbit polyclonal antibody
別 名: sodium voltage-gated channel alpha subunit 5; HB1; HB2; HH1; IVF; VF1; HBBD; ICCD; LQT3; SSS1; CDCD2; CMD1E; CMPD2; PFHB1; Nav1.5
相關類別: 一抗
儲 存: 冷凍(-20℃)
宿 主: Rabbit
抗 原: SCN5A
反應種屬: Human, Mouse, Rat
標 記 物: Unconjugate
克隆類型: rabbit polyclonal
Background:
The protein encoded by this gene is an integral membrane protein and tetrodotoxin-resistant voltage-gated sodium channel subunit. This protein is found primarily in cardiac muscle and is responsible for the initial upstroke of the action potential in an electrocardiogram. Defects in this gene are a cause of long QT syndrome type 3 (LQT3), an autosomal dominant cardiac disease. Alternative splicing results in several transcript variants encoding different isoforms.
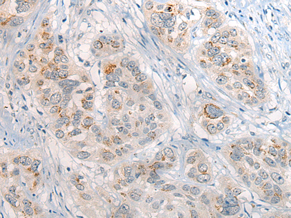
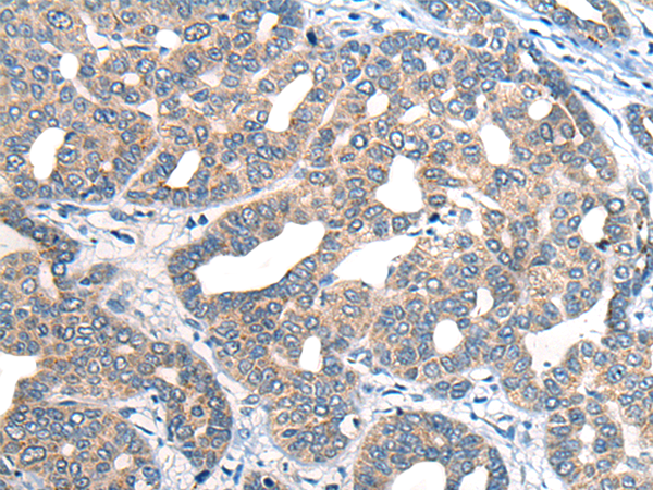
Applications:
ELISA, IHC
Name of antibody:
SCN5A
Immunogen:
Synthetic peptide of human SCN5A
Full name:
sodium voltage-gated channel alpha subunit 5
Synonyms:
HB1; HB2; HH1; IVF; VF1; HBBD; ICCD; LQT3; SSS1; CDCD2; CMD1E; CMPD2; PFHB1; Nav1.5
SwissProt:
Q14524
ELISA Recommended dilution:
5000-10000
IHC positive control:
Human liver cancer
IHC Recommend dilution:
25-100
技術規格

購物車
幫助
021-54845833/15800441009
