宿 主: Rabbit
|
Background: |
Voltage-gated potassium (Kv) channels represent the most complex class of voltage-gated ion channels from both functional and structural standpoints. Their diverse functions include regulating neurotransmitter release, heart rate, insulin secretion, neuronal excitability, epithelial electrolyte transport, smooth muscle contraction, and cell volume. This gene encodes a member of the potassium channel, voltage-gated, subfamily H. This member is a pore-forming (alpha) subunit. There are at least two alternatively spliced transcript variants derived from this gene and encoding distinct isoforms. |
|
Applications: |
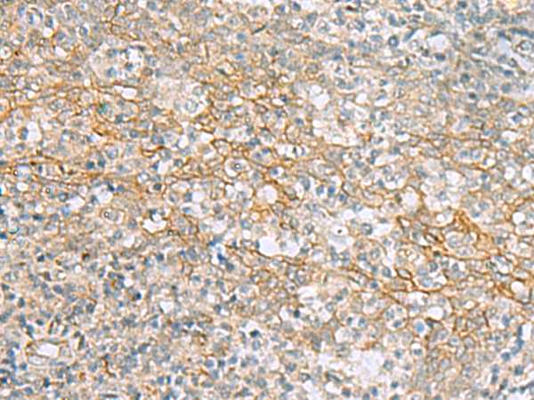
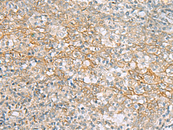
ELISA, IHC |
|
Name of antibody: |
KCNH7 |
|
Immunogen: |
Synthetic peptide of human KCNH7 |
|
Full name: |
potassium voltage-gated channel subfamily H member 7 |
|
Synonyms: |
ERG3; HERG3; Kv11.3 |
|
SwissProt: |
Q9NS40 |
|
ELISA Recommended dilution: |
5000-10000 |
|
IHC positive control: |
Human tonsil |
|
IHC Recommend dilution: |
50-200 |

購物車
幫助
021-54845833/15800441009
