中文名稱: 兔抗NOX4多克隆抗體
英文名稱: Anti-NOX4 rabbit polyclonal antibody
別 名: KOX, KOX-1, RENOX
抗 原: NOX4
儲 存: 冷凍(-20℃)
宿 主: Rabbit
相關類別: 一抗
反應種屬: Human, Mouse, Rat
標 記 物: Unconjugate
克隆類型: rabbit polyclonal
技術規格
|
Background: |
Fusion protein of human NOX4 |
|
Applications: |
ELISA, IHC |
|
Name of antibody: |
NOX4 |
|
Immunogen: |
Fusion protein of human NOX4 |
|
Full name: |
NADPH oxidase 4 |
|
Synonyms: |
KOX, KOX-1, RENOX |
|
SwissProt: |
Q9NPH5 |
|
ELISA Recommended dilution: |
2000-5000 |
|
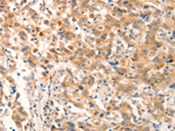
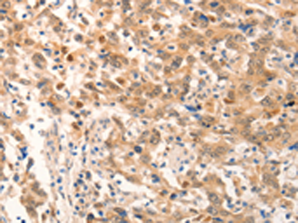
IHC positive control: |
Human gasrtic cancer; |
|
IHC Recommend dilution: |
25-100 |

購物車
幫助
021-54845833/15800441009
